ในทางทันตกรรม ภาวะที่ฟันเรียงตัวไม่เป็นระเบียบ หรือที่มักเรียกกันว่า “ฟันเก” นั้น หมายถึง ภาวะที่ฟันมีการเรียงตัวผิดปกติไปจากตำแหน่งปกติ ส่งผลกระทบต่อการบดเคี้ยว การออกเสียง สุขภาพช่องปาก และความมั่นใจ สามารถเกิดจากหลายสาเหตุ เช่น กรรมพันธุ์ ขนาดขากรรไกร ฯลฯ และส่งผลต่อการทำความสะอาด การย่อยอาหาร และบุคลิกภาพ การรักษาขึ้นอยู่กับความรุนแรง โดยทันตแพทย์จะวางแผนการรักษาที่เหมาะสม ซึ่งอาจรวมถึงการจัดฟันด้วย
เทคโนโลยีทันตกรรมปัจจุบันช่วยให้การรักษาฟันเรียงตัวผิดปกติ มีประสิทธิภาพสูงขึ้น ผู้ใหญ่เองก็สามารถเข้ารับการรักษาได้เช่นกัน ดังนั้น ควรรีบปรึกษาเพื่อรับการวินิจฉัยและวางแผนการรักษาที่เหมาะสม
ฟันเกคืออะไร

ฟันเก (Crooked, misaligned teeth) คือ ฟันที่ขึ้นมาแล้วมีลักษณะบิดเบี้ยวไปจากแนวฟันปกติ มักเกิดขึ้นพร้อมกับฟันซ้อน ฟันเกสามารถเกิดได้จากหลายสาเหตุทั้งพันธุกรรม พฤติกรรมในวัยเด็ก หรือการสูญเสียฟันน้ำนมก่อนกำหนด ส่งผลต่อทั้งบุคลิกภาพ สุขภาพช่องปาก และประสิทธิภาพในการบดเคี้ยว
ฟันเก กับ ฟันซ้อน ต่างกันอย่างไร?
หลายคนมักใช้คำว่า ฟันเก และ ฟันซ้อน สลับกัน หรือเข้าใจว่าเป็นเรื่องเดียวกัน ซึ่งในความเป็นจริงแล้ว ทั้งสองคำนี้มีความหมายทางทันตกรรมที่แตกต่างกัน แต่ก็มักจะเกิดขึ้นพร้อมๆ กันเสมอ โดยมีข้อแตกต่างกันดังนี้:
- ฟันเก (Crooked Teeth) – ลักษณะของฟันจะมีการ บิด หมุน หรือเอียง ออกจากแนวการเรียงตัวปกติ ไม่ว่าจะเอียงไปข้างหน้า เอียงไปข้างหลัง หรือบิดหมุนรอบแกนฟัน (Rotation) ซึ่งอาจเกิดขึ้นเพียงซี่เดียว หรือหลายซี่ก็ได้ แม้จะมีพื้นที่เพียงพอ แต่ฟันก็อาจขึ้นมาในลักษณะบิดเบี้ยวได้เช่นกัน
- ฟันซ้อน (Crowded Teeth) – คืออาการที่พื้นที่ขากรรไกรไม่เพียงพอ ให้ฟันทุกซี่ขึ้นเรียงกันได้ จึงทำให้ฟันแท้ที่ขึ้นมาทีหลังต้องหาที่แทรกตัวขึ้นมา จึงไปโผล่ที่ด้านหลังฟันอีกซี่หนึ่ง เกิดเป็นลักษณะฟันซ้อนกัน
ฟันเก เกิดจากอะไร
ฟันเกสามารถเกิดขึ้นได้ทั้งในฟันน้ำนมและฟันแท้ ฟันน้ำนมบางครั้งอาจเคลื่อนที่ไปยังตำแหน่งที่ทำให้ฟันเกได้เพราะฟันอาจขึ้นมาบนเหงือกที่มีพื้นที่ไม่เพียงพอที่จะให้ฟันขึ้นแบบปกติ
นิสัยของเด็กที่ติดการดูดจุกนมหรือดูดนิ้วโป้งก็สามารถทำให้เกิดฟันเกได้จากแรงดันที่เกิดขึ้นในช่องปาก, กรรมพันธุ์เองก็มีผลทำให้ฟันเกได้, การได้รับการบาดเจ็บจนทำให้ฟันน้ำนมหลุดก่อนกำหนด ฟันแท้ที่ขึ้นตามมาก็อาจเกได้ แต่การมีฟันน้ำนมเกไม่ได้แปลว่าฟันแท้จะเกด้วย
ปัญหาอื่นๆ ที่ทำให้เกิดอาการฟันเกได้แก่:
ฟันน้ำนมหลุดเร็ว

เมื่อฟันน้ำนมหลุดเร็วกว่ากำหนด ฟันแท้ที่ขึ้นแทนอาจเอียงหรือเกได้ เพราะฟันแท้มีขนาดใหญ่กว่าฟันน้ำนม เมื่อฟันน้ำนมหลุดเร็วกว่ากำหนดแปลว่าขนาดขากรรไกรยังเจริญเติบโตไม่พอที่จะมีขนาดเหมาะสมสำหรับฟันแท้
ขนาดขากรรไกร
วิวัฒนาการของมนุษย์ส่งผลให้ขากรรไกรเล็กลง ในขณะที่ฟันยังมีขนาดเท่าเดิม ฟันจึงเบียดกันและทำให้เกิดฟันเก
นิสัยในวัยเด็ก
การดูดนิ้ว ดูดจุกขวดนม หรือการหายใจทางปาก ส่งผลต่อพัฒนาการของขากรรไกรและฟัน
กรรมพันธุ์
รูปหน้า ขากรรไกร ฟัน สามารถถ่ายทอดทางพันธุกรรมได้
ปัญหาสุขภาพช่องปาก
การไม่ไปพบทันตแพทย์เป็นประจำอาจทำให้เป็นโรคเหงือก ฟันผุ ส่งผลต่อการเรียงตัวของฟันและปัญหาอื่นๆ ได้
โภชนาการ
ภาวะขาดสารอาหาร โดยเฉพาะในวัยเด็ก ส่งผลต่อการพัฒนาโครงสร้างฟันอาจทำให้เกิดฟันผุและฟันเกได้
อุบัติเหตุ
อุบัติเหตุที่กระแทกบริเวณใบหน้าหรือปาก ทำให้ฟันเกหรือหลุดได้
ปัญหาที่อาจเกิดขึ้นจากฟันเก
หลายๆ ครั้งฟันเกส่งผลต่อคุณภาพชีวิตของคนไข้ เช่น ส่งผลต่อความสามารถในการบดเคี้ยว อาจทำให้เกิดความเจ็บทุกครั้งที่ทานอาหาร นอกจากนี้บางคนอาจรู้สึกไม่มั่นใจในรูปลักษณ์ของตัวเองเวลายิ้มมากเสียจนกระทั่งหยุดยิ้ม หรือหลีกเลี่ยงการเข้าสังคมไปเลย
ปัญหาอื่นๆ ที่อาจเกิดขึ้นจากฟันเก ได้แก่:
- โรคเหงือก – การทำความสะอาดฟันเกนั้นยากกว่าการทำความสะอาดฟันตามปกติ ซึ่งอาจนำไปสู่การเกิดฟันผุและโรคเหงือก หากไม่ได้รับการรักษาก็จะนำไปสู่โรคปริทันต์ ซึ่งเป็นอาการที่รุนแรงขึ้นไปอีกและสามารถทำลายกระดูกและฟันได้
- การเคี้ยว – ฟันเกทำให้การบดเคี้ยวไม่มีประสิทธิภาพเท่าที่ควร ส่งผลกระทบต่อระบบย่อยอาหารต่อไป
- การสึกของฟันที่มากกว่าปกติ – ฟันเกสามารถทำให้เกิดการสึกหรอของฟันมากกว่าปกติ ทำให้เกิดแรงบนกรามมากกว่าปกติ และสามารถทำให้ปวดหัวได้
- ปัญหาการพูด – หากฟันเรียงตัวไม่ถูกต้อง การออกเสียงเวลาสนทนาก็ไม่ชัด มีปัญหาเวลาพูด
- ความมั่นใจในตนเอง – ความไม่พอใจในรูปลักษณ์ที่เกิดจากฟันเก อาจนำไปสู่การขาดความมั่นใจในตนเองและการหลีกเลี่ยงสังคมได้
การรักษาฟันเก
การแก้ไขและรักษาฟันเกมีหลายวิธี แต่ละวิธีมีลักษณะเฉพาะที่เหมาะสมกับความต้องการและสภาพฟันของแต่ละคนไข้แตกต่างกันไปดังนี้:
จัดฟันโลหะ
การจัดฟันโลหะเป็นวิธีการจัดฟันที่นิยมมากที่สุด ใช้เครื่องมือจัดฟันที่ทำจากโลหะ โดยมีลวดและแบร็คเก็ตติดบนฟันที่ทำให้ฟันเคลื่อนที่ไปยังตำแหน่งที่ต้องการ จัดฟันโลหะมีความแข็งแรง ทนทาน และมีประสิทธิภาพสูงในการแก้ไขการเรียงตัวของฟันเก
จัดฟันเซรามิก
การจัดฟันเซรามิกเป็นทางเลือกที่มีความสวยงามมากกว่าจัดฟันโลหะ เนื่องจากสีของเครื่องมือจัดฟันเซรามิกมีสีคล้ายกับสีของฟันจริง ทำให้เห็นไม่ชัดเจนเมื่อสวมใส่ แม้ว่าจะมีความแข็งแรงน้อยกว่าโลหะ แต่จัดฟันเซรามิกก็เป็นทางเลือกที่ดีสำหรับผู้ที่ไม่ต้องการให้เห็นชัดว่ากำลังจัดฟันอยู่
จัดฟันใส
การจัดฟันใสใช้แผ่นพลาสติกใสพิเศษที่ออกแบบมาเฉพาะสำหรับฟันของคนไข้ แผ่นพลาสติกเหล่านี้ สามารถถอดออกได้ ทำให้ง่ายต่อการทำความสะอาดฟันและแผ่นพลาสติก นอกจากนี้ยังมองเห็นยากมาก ทำให้คนทั่วไปไม่รู้ว่าคนไข้กำลังจัดฟันอยู่
ถอนฟันร่วมกับผ่าตัดขากรรไกร
ในกรณีที่ฟันเกมีความซับซ้อนหรือมีปัญหาขากรรไกรมาเกี่ยวข้อง อาจต้องมีการถอนฟันบางซี่ร่วมกับการผ่าตัดขากรรไกรเพื่อปรับโครงสร้างของกระดูกและฟันให้เข้าที่ การรักษาด้วยวิธีนี้ต้องมีการวางแผนอย่างละเอียดและใช้เวลาฟื้นฟูนานกว่าวิธีอื่น
ฟันเกนิดหน่อย ทำวีเนียร์ (Veneer) แก้ได้ไหม
ทำได้ และค่อนข้างได้รับความนิยมในกลุ่มคนวัยทำงานหรือดาราที่ต้องการเห็นผลลัพธ์ไว สำหรับผู้ที่มีปัญหาฟันเกเพียงเล็กน้อย เช่น ฟันหน้าบิดเก แค่ 1-2 ซี่ ปลายฟันซ้อนกันเล็กน้อย หรือฟันยุบตัวเข้าเล็กน้อย การทำวีเนียร์สามารถแก้ไขปัญหานี้ได้โดยไม่ต้องเสียเวลาจัดฟันนานๆ
หลักการคือ แทนที่จะใช้เครื่องมือจัดฟันมาเคลื่อนฟัน ทันตแพทย์จะกรอฟันแล้วทำวีเนียร์ขึ้นมาแปะลงบนผิวหน้าฟัน โดยวีเนียร์ที่ทำขึ้นจะทำให้เป็นแผ่นที่เมื่อติดลงบนฟันแล้ว ดูเหมือนว่าฟันดูตรง สวยงาม สม่ำเสมอกับฟันซี่ข้างๆ
ข้อดีของการแก้ฟันเกด้วยวีเนียร์:
- เห็นผลทันที ใช้เวลาเพียง 1-2 สัปดาห์ (นัดหมายเพียง 2-3 ครั้ง) ก็ได้ฟันเรียงสวย
- นอกจากเรื่องรูปร่างฟันแล้ว ฟันจะขาวขึ้นด้วยจากสีของวัสดุวีเนียร์ คนไข้เลือกระดับความขาวเองได้
- ไม่ต้องทนเจ็บหรือรำคาญเครื่องมือจัดฟัน และไม่ต้องใส่รีเทนเนอร์ตลอดเวลาเหมือนการจัดฟัน
ข้อควรระวัง:
- วิธีนี้ใช้ได้เฉพาะผู้ที่มีฟันเกระดับเล็กน้อยเท่านั้น หากฟันซ้อนเกมาก หรือมีปัญหาการสบฟันผิดปกติ จะต้องแก้ไขด้วยการจัดฟัน
- หากดูแลไม่ดี หรือทันตแพทย์ไม่ชำนาญ มีโอกาสที่เศษอาหารเล็กๆ จะเข้าไปอยู่ระหว่างซอกฟันกับวีเนียร์ ทำให้มีกลิ่นปากรุนแรงมากได้
การป้องกันการเกิดฟันเก
การป้องกันการเกิดฟันเกนั้นประกอบด้วยส่วนที่เป็นกรรมพันธุ์ซึ่งไม่สามารถควบคุมได้ และส่วนที่เป็นปัจจัยแวดล้อมที่สามารถควบคุมได้ ซึ่งการป้องกันการเกิดฟันเกนั้นทำได้ง่ายกว่าถ้าทำตั้งแต่วัยเด็ก ดังนี้
- พยายามทำให้เด็กหลีกเลี่ยงการดูดนิ้วหัวแม่มือและจุกนมหลังจากเด็กอายุ 3 ปี เนื่องจากพฤติกรรมเหล่านี้ส่งผลต่อพัฒนาการของปากและตำแหน่งของฟัน
- ให้เด็กได้รับโภชนาการที่เหมาะสม เพราะอาหารมีผลต่อการพัฒนาของขากรรไกร อาหารที่ต้องใช้การเคี้ยว เช่น ผัก ผลไม้ เนื้อสัตว์ สามารถช่วยเรื่องการเจริญเติบโตของขากรรไกรอย่างเหมาะสม
- การให้นมแม่สามารถช่วยในการพัฒนาขากรรไกรและการจัดตำแหน่งของฟันได้
- สอนเรื่องการดูแลสุขภาพฟันตั้งแต่อายุยังน้อยเพื่อป้องกันฟันผุและการสูญเสียฟัน ซึ่งอาจนำไปสู่การเรียงตัวที่ผิดปกติของฟันได้
- ไม่ควรให้เด็กนอนหลับพร้อมกับขวดนม เนื่องจากการสัมผัสกับน้ำตาลเป็นเวลานานสามารถนำไปสู่การผุของฟัน ซึ่งอาจส่งผลต่อการจัดที่ว่างของฟัน
- หากเด็กสูญเสียฟันน้ำนมเร็วเกินไปเนื่องจากการผุหรืออุบัติเหตุ อาจนำไปสู่ปัญหาฟันเกได้เพราะพื้นที่สำหรับฟันแท้บนขากรรไกรยังไม่พร้อม
- หยุดพฤติกรรมที่สร้างแรงดันที่ฟันและขากรรไกร เช่น การกัดของแข็งอย่าง ปากกา ดินสอ การเคี้ยวอาหารที่ข้างใดข้างหนึ่งของปาก หรือการดันฟันด้วยลิ้นบ่อยๆ
คำถามพบบ่อยเกี่ยวกับฟันเก
ฟันเก ควรจัดฟันไหม
การตัดสินใจว่าควรจัดฟันหรือไม่ ควรปรึกษาทันตแพทย์เฉพาะทางด้านทันตกรรมจัดฟัน (Orthodontist) ทันตแพทย์จะทำการตรวจวินิจฉัย วิเคราะห์ปัญหา และวางแผนการรักษาที่เหมาะสมให้กับคนไข้
กรณีที่ควรจัดฟัน
- ฟันเกมากจนส่งผลต่อการออกเสียง การทานอาหาร หรือการทำความสะอาด
- ฟันเกจนเกิดปัญหาสุขภาพช่องปาก เช่น ฟันผุ เหงือกอักเสบ
- ฟันเกส่งผลต่อความมั่นใจและบุคลิกภาพ
กรณีที่ไม่จำเป็นต้องจัดฟัน
- ฟันเกเพียงเล็กน้อย ไม่ส่งผลต่อการใช้ชีวิต สุขภาพช่องปาก หรือความมั่นใจ
- ผู้ที่มีอายุมาก สุขภาพไม่แข็งแรง หรือมีโรคประจำตัวบางชนิด
ฟันเก จัดฟัน ต้องถอนฟันไหม
ฟันเก จัดฟันแล้วต้องถอนฟันหรือไม่ ขึ้นอยู่กับหลายปัจจัย เช่น:
- ความรุนแรงของฟันเก: กรณีฟันเกมาก อาจจำเป็นต้องถอนฟันเพื่อสร้างพื้นที่ให้ฟันซี่อื่นเรียงตัว
- ขนาดของฟัน: หากฟันซี่ใหญ่ หรือฟันที่มีขนาดไม่เท่ากัน อาจจำเป็นต้องถอนฟันเพื่อปรับขนาด
- พื้นที่ในช่องปาก: กรณีมีพื้นที่ในช่องปากไม่เพียงพอ อาจจำเป็นต้องถอนฟันเพื่อสร้างพื้นที่
- โครงสร้างขากรรไกร: กรณีมีโครงสร้างขากรรไกรที่ผิดปกติ อาจจำเป็นต้องถอนฟันเพื่อปรับโครงสร้าง
โดยทั่วไป กรณีฟันเกเพียงเล็กน้อย อาจไม่จำเป็นต้องถอนฟัน แต่แพทย์จะพิจารณาจากปัจจัยต่างๆ ดังที่กล่าวมาข้างต้น เพื่อวางแผนการรักษาที่เหมาะสม
ฟันเก จัดฟันนานไหม
โดยทั่วไประยะเวลาในการจัดฟันจะอยู่ที่ 1-3 ปี ขึ้นกับความรุนแรงของแต่ละเคส
ฟันเก ใส่รีเทนเนอร์ได้ไหม
รีเทนเนอร์คือเครื่องมือคงสภาพฟันให้เรียงตัวอยู่เหมือนเดิม การใส่รีเทนเนอร์ไม่ช่วยให้ฟันเรียงตัวดีขึ้น หากไม่ได้จัดฟันมาก่อน
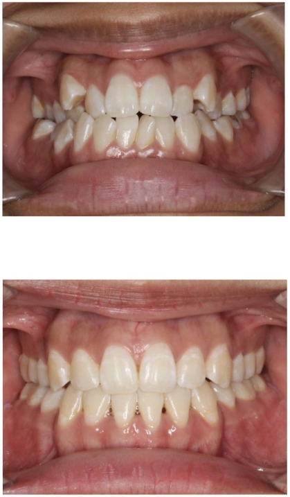
รีวิวเคสฟันเก

รูปจากผลงานของทันตแพทย์ ทพญ.ดร.จินตนา ทัศนพานนท์
