ทพญ.ดร. จินตนา ทัศนพานนท์

ทพญ.ดร. จินตนา ทัศนพานนท์ 

D.D.S., Higher Grad. Dip. In Clin. Sc., Dip. (Orthodontics)., 

Ph.D., Diplomate Thai Board of Orthodontics

  • ทันตแพทยศาสตร์บัณฑิต เกียรตินิยมอันดับหนึ่ง มหาวิทยาลัยนเรศวร D.D.S., (first class-honored)
  • ประกาศนียบัตรขั้นสูง สาขาศัลยศาสตร์ช่องปาก จุฬาลงกรณ์มหาวิทยาลัย Higher Grad. Dip. In. Sc. (Oral and Maxillofacial surgery)
  • ประกาศนียบัตรแพทย์ประจำบ้าน สาขาทันตกรรมจัดฟัน มหาวิทยาลัยเชียงใหม่ Residency Training Program in Orthodontics
  • ปริญญาดุษฎีบัณฑิต มหาวิทยาลัยเชียงใหม่Ph.D.
  • สมาชิกสามัญของสมาคมทันตแพทย์จัดฟันแห่งประเทศไทย (Thai Association of Orthodontists)
  • วุฒิบัตรเพื่อแสดงความรู้ความชำนาญในการประกอบวิชาชีพทันตกรรม สาขาทันตกรรมจัดฟัน (Thai Board of Orthodontics)

ตัวอย่างเคส

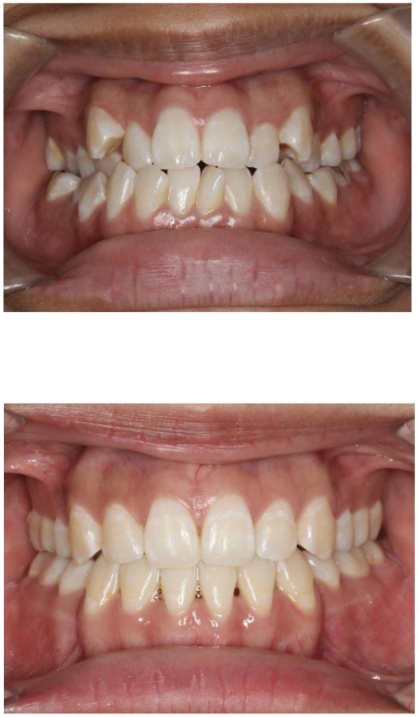
เคสที่ 1 ฟันยื่น

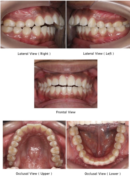
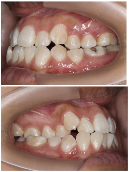
เคสที่ 2 ฟันสบเปิด

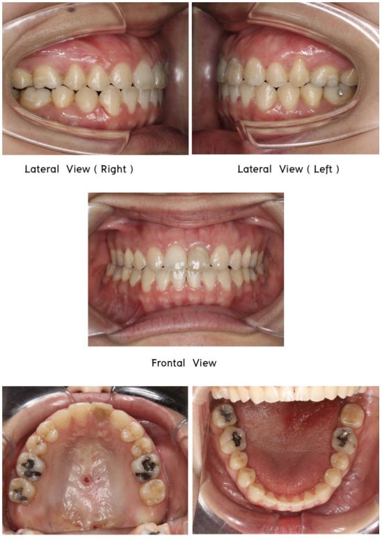
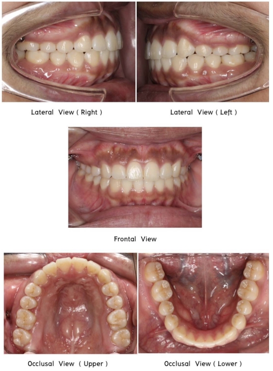
เคสที่ 3 ฟันซ้อนเก

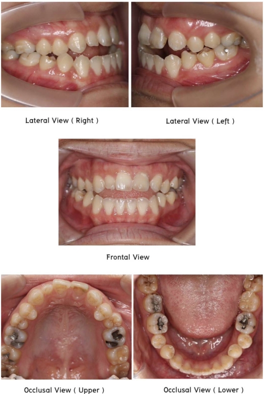
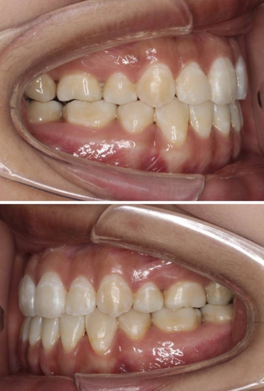
เคสที่ 4 ฟันล่างคร่อมบน

เราใช้คุกกี้เพื่อพัฒนาประสิทธิภาพ และประสบการณ์ที่ดีในการใช้เว็บไซต์ของคุณ คุณสามารถศึกษารายละเอียดได้ที่ นโยบายความเป็นส่วนตัว และสามารถจัดการความเป็นส่วนตัวเองได้ของคุณได้เองโดยคลิกที่ ตั้งค่า

ตั้งค่าความเป็นส่วนตัว

คุณสามารถเลือกการตั้งค่าคุกกี้โดยเปิด/ปิด คุกกี้ในแต่ละประเภทได้ตามความต้องการ ยกเว้น คุกกี้ที่จำเป็น

ยอมรับทั้งหมด
จัดการความเป็นส่วนตัว
  • คุกกี้ที่จำเป็น
    เปิดใช้งานตลอด

    ประเภทของคุกกี้มีความจำเป็นสำหรับการทำงานของเว็บไซต์ เพื่อให้คุณสามารถใช้ได้อย่างเป็นปกติ และเข้าชมเว็บไซต์ คุณไม่สามารถปิดการทำงานของคุกกี้นี้ในระบบเว็บไซต์ของเราได้

  • คุกกี้เพื่อการวิเคราะห์

    คุกกี้เหล่านี้มีไว้เพื่อช่วยให้เราเข้าใจพฤติกรรมการใช้งานเว็บไซต์ของคุณได้ดียิ่งขึ้น ข้อมูลที่ได้จะถูกนำไปวิเคราะห์และใช้ในการพัฒนาปรับปรุงเนื้อหา บริการ และการทำงานของเว็บไซต์ เพื่อมอบประสบการณ์การใช้งานที่ดีที่สุดให้กับคุณ ทั้งนี้ข้อมูลดังกล่าวจะไม่มีการเปิดเผยต่อบุคคลภายนอกและจะถูกเก็บเป็นความลับ

บันทึกการตั้งค่า