
ทพญ. จิราภรณ์ ผูกพันธ์ (หมอจุ๊บแจง) Jirabhorn Pookpan
-ทันตแพทยศาสตร์บัณฑิต มหาวิทยาลัยเวสเทิร์น Doctor of dental surgery, Western University (D.D.S.)
-ประกาศนียบัตร CE สาขาปริทันตวิทยา จุฬาลงกรณ์มหาวิทยาลัย
-ประกาศนียบัตร Implant Dentistry
-ประกาศนียบัตร สาขาทันตกรรมจัดฟัน Advanced Orthodontics Center
-ประกาศนียบัตร สาขาทันตกรรมจัดฟัน Advanced Orthodontics,
Yonsei University, South Korea
-Invisalign Certificate, Invisalign Provider
2018-ปัจจุบัน : MOS Dental Clinic สาขา รามคำแหง, บางกะปิ, แฮปปี้แลนด์, ปิ่นเกล้า, เจริญนคร, บองมาเช่
ตัวอย่างเคส
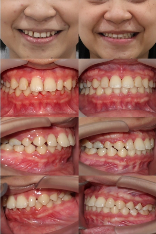
ตัวอย่างเคส จัดฟันเหล็ก




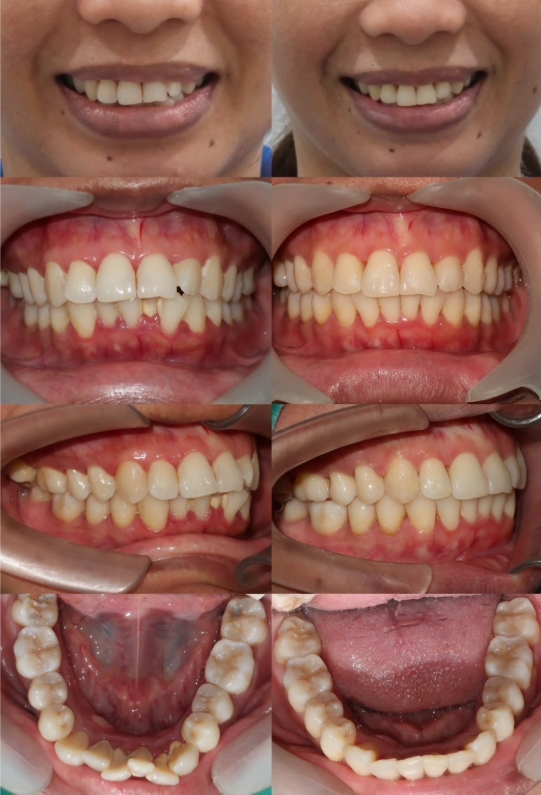
ตัวอย่างเคส จัดฟัน Invisalign


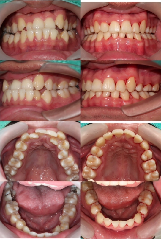
ตัวอย่างเคส จัดฟันดามอน

