ทพ. ธนพล ธีระพงษ์พันธุ์

ทพ.ธนพล ธีระพงษ์พันธุ์

เข้าตรวจที่สาขา แอร์พอร์ต-กิ่งแก้ว, แบริ่ง, สุวรรณภูมิ

ประสบการณ์การทำงาน : 14 ปี

🎓ทันตแพทยศาสตร์บัณทิต มหาวิทยาลัยรังสิต

📚ประกาศนียบัตรอบรมหลักสูตรทันตกรรมจัดฟัน อีไลน์ ออร์โธดอนติกส์

📚ประกาศนียบัตรอบรมหลักสูตรทันตกรรมจัดฟัน แอดวานซ์ ออร์โธดอนติกส์เซ็นเตอร์

📚ประกาศนียบัตร สาขาทันตกรรมจัดฟัน Yonsei University, Korea

📚Invisalign Certificated Doctor (Platinum invisalign provider)

Dr.Thanapol Teerapongpan

Doctor of Dental Surgery DDS. , Rangsit University

📚Certificate in E-Line orthodontics center

📚Certificate in Advance orthodontic center

📚Certificate in mini-residency orthodontics Yonsei University, Korea

📚Certificate in EF line functional education

📚Invisalign Certificated Doctor (Platinum invisalign provider)

ตัวอย่างเคส

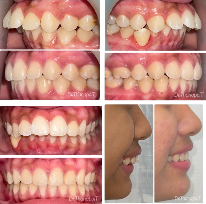
เคสคนไข้จัดฟันแบบเหล็กเคสที่1

เคสคนไข้จัดฟันแบบเหล็กเคสที่2

เคสคนไข้จัดฟันใส invisalign เคส1

เคสคนไข้จัดฟันแบบดาม่อนเคสที่1

เคสคนไข้จัดฟันแบบดาม่อนเคสที่2

เคสคนไข้จัดฟันใส invisalign เคส2

เคสคนไข้จัดฟันใส invisalign เคส3

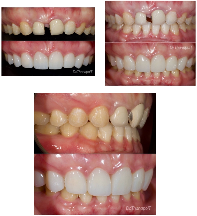
เคสคนไข้วีเนียร์เคส 1

เคสคนไข้จัดฟันใส invisalign เคส4

เคสคนไข้วีเนียร์เคส 2

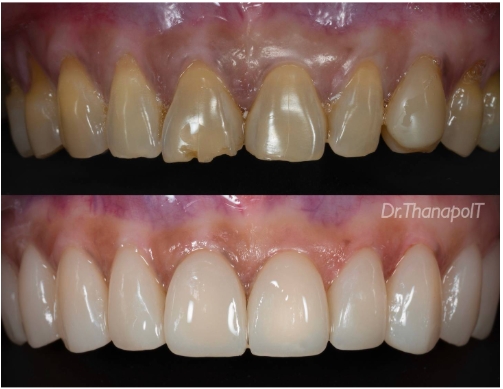
เคสคนไข้วีเนียร์เคส 3

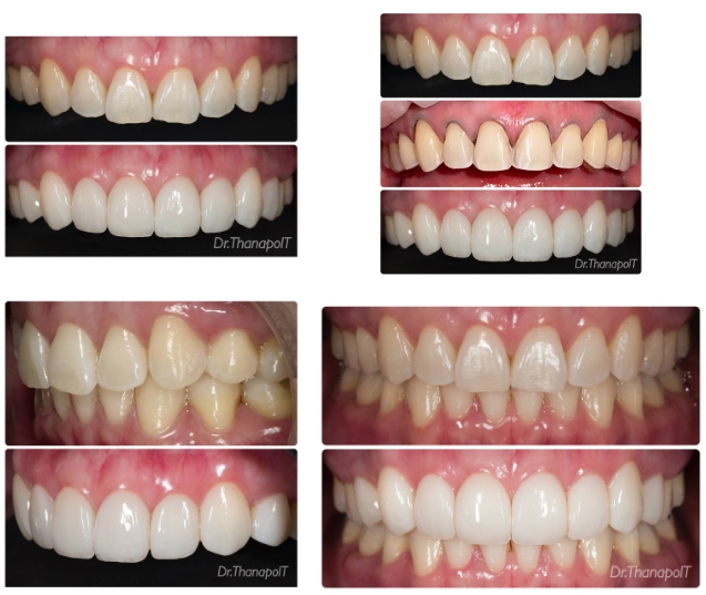
ครอบฟันสะพานฟันวีเนียร์เคส4

วีเนียร์เคส 5

วีเนียร์เคส 6

วีเนียร์เคส 7

วีเนียร์เคส 8

วีเนียร์เคส 9

เราใช้คุกกี้เพื่อพัฒนาประสิทธิภาพ และประสบการณ์ที่ดีในการใช้เว็บไซต์ของคุณ คุณสามารถศึกษารายละเอียดได้ที่ นโยบายความเป็นส่วนตัว และสามารถจัดการความเป็นส่วนตัวเองได้ของคุณได้เองโดยคลิกที่ ตั้งค่า

ตั้งค่าความเป็นส่วนตัว

คุณสามารถเลือกการตั้งค่าคุกกี้โดยเปิด/ปิด คุกกี้ในแต่ละประเภทได้ตามความต้องการ ยกเว้น คุกกี้ที่จำเป็น

ยอมรับทั้งหมด
จัดการความเป็นส่วนตัว
  • คุกกี้ที่จำเป็น
    เปิดใช้งานตลอด

    ประเภทของคุกกี้มีความจำเป็นสำหรับการทำงานของเว็บไซต์ เพื่อให้คุณสามารถใช้ได้อย่างเป็นปกติ และเข้าชมเว็บไซต์ คุณไม่สามารถปิดการทำงานของคุกกี้นี้ในระบบเว็บไซต์ของเราได้

  • คุกกี้เพื่อการวิเคราะห์

    คุกกี้เหล่านี้มีไว้เพื่อช่วยให้เราเข้าใจพฤติกรรมการใช้งานเว็บไซต์ของคุณได้ดียิ่งขึ้น ข้อมูลที่ได้จะถูกนำไปวิเคราะห์และใช้ในการพัฒนาปรับปรุงเนื้อหา บริการ และการทำงานของเว็บไซต์ เพื่อมอบประสบการณ์การใช้งานที่ดีที่สุดให้กับคุณ ทั้งนี้ข้อมูลดังกล่าวจะไม่มีการเปิดเผยต่อบุคคลภายนอกและจะถูกเก็บเป็นความลับ

บันทึกการตั้งค่า