
ทพญ.ธัญญา ผาณิตพจมาน
🎓ทันตแพทยศาสตร์บัณทิต มหาวิทยาลัยรังสิต
📚ประกาศนียบัตรอบรมหลักสูตรทันตกรรมจัดฟัน แอดวานซ์ ออร์โธดอนติกส์เซ็นเตอร์
📚ประกาศนียบัตร สาขาทันตกรรมจัดฟัน Yonsei University, Korea
📚Invisalign Certificated, Invisalign provider
ตัวอย่างเคส
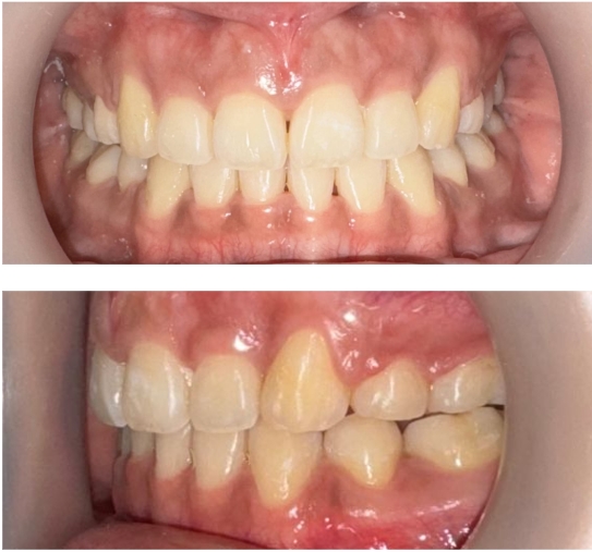
คนไข้จัดฟันใส Invisalign Full



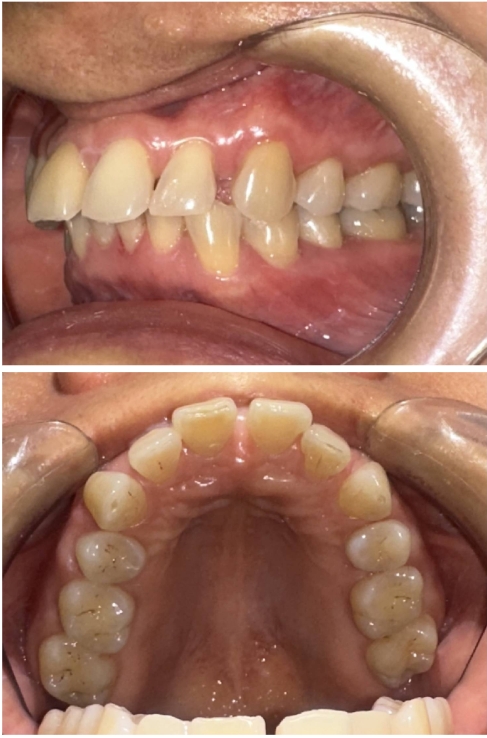
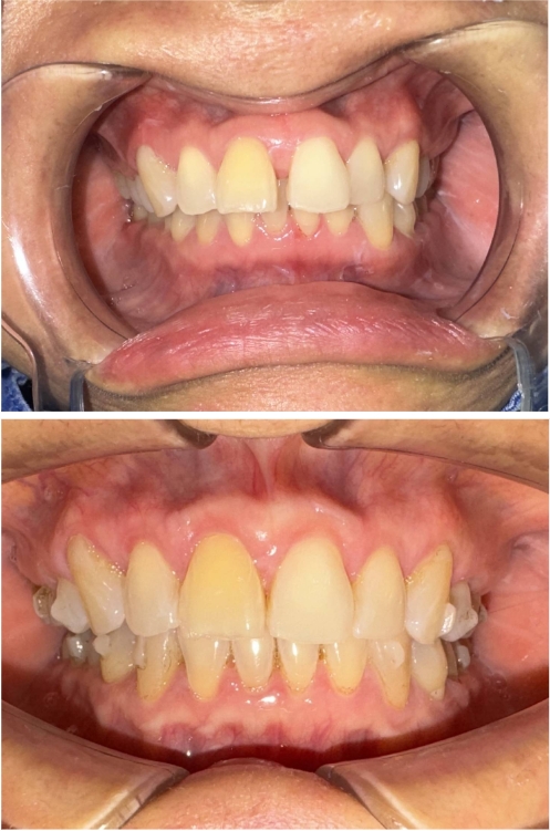
เคสจัดฟันใส Full
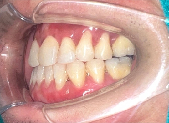
Cc : ฟันล่างคร่อมฟันบน ก่อนหน้านี่เคยจัดฟันมาเมื่อ 10 กว่าปีที่แล้ว
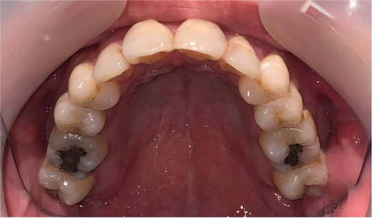
ก่อนทำ




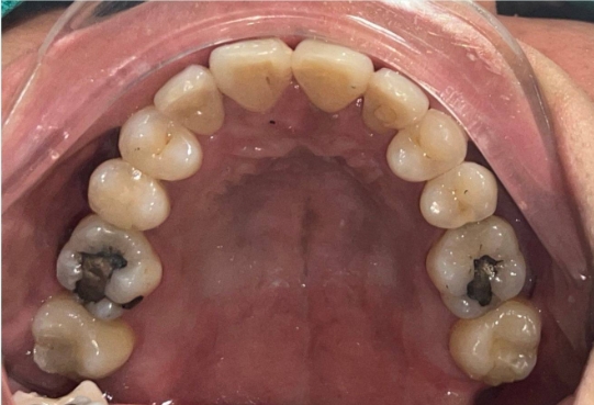
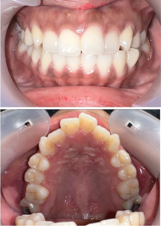
หลังทำ





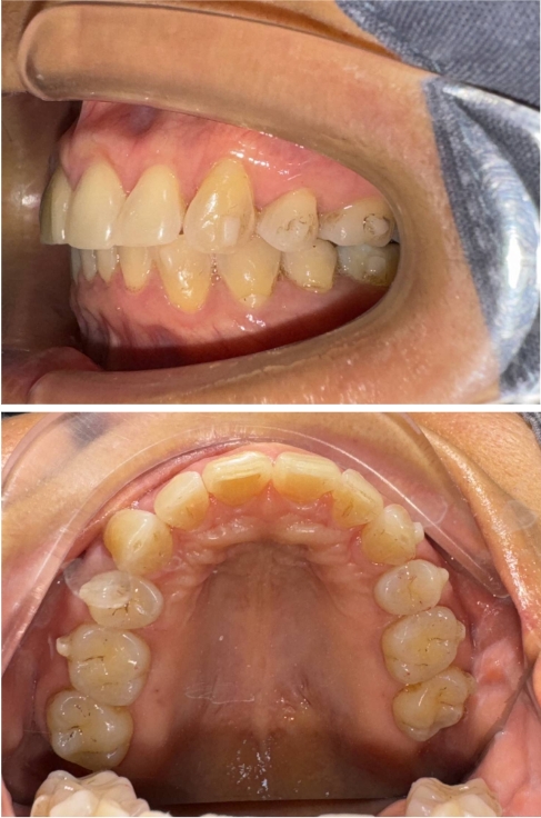
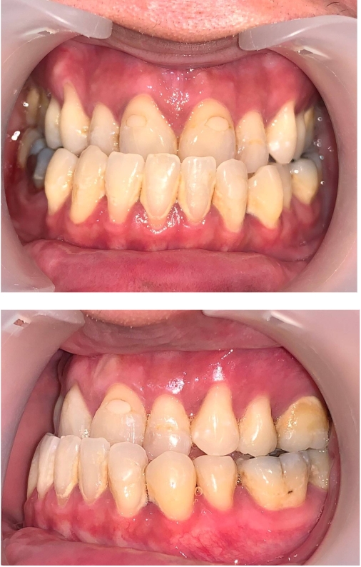
เคสจัดฟันโลหะ
Cc : ฟันยื่น&ซ้อน
ก่อนทำ


หลังทำ


