
ทพญ. ปาริชาติ วงษ์สาอยู่
ทันตแพทยศาสตร์บัณฑิต มหาวิทยาลัยขอนแก่น
ประกาศนียบัตรบัณฑิตชั้นสูง ทันตกรรมบูรณะ มหาวิทยาลัยเชียงใหม่
ประกาศนียบัตรทันตกรรมจัดฟัน wire club orthodontics
งานที่คุณหมอถนัด
ขูดหินปูน อุดฝัน ถอนฟัน ผ่าฟันคุด
รักษาราก ฟันปลอม รากเทียม ครอบฟัน วีเนียร์ และจัดฟันค่ะ
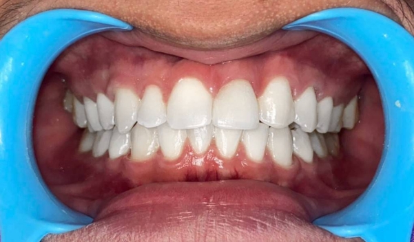
เคสตัวอย่าง
ตัดเหงือกและครอบฟันหน้า

