
ประวัติการศึกษา
* 2553: ทันตแพทยศาสตร์บัณฑิต จุฬาลงกรณ์มหาวิทยาลัย
* 2562: ปรัชญาดุษฎีบัณฑิต สาขาวิทยาศาสตร์สุขภาพช่องปาก(จัดฟัน) (หลักสูตรผสมวิจัยและคลินิก) มหาวิทยาลัยสงขลานครินทร์
* 2562: ประกาศนียบัตรฝึกอบรมทันตกรรมจัดฟัน มหาวิทยาลัยสงขลานครินทร์ (5 year internship)
* 2562: อนุมัติบัตรแสดงความรู้ความชำนาญในการประกอบวิชาชีพทันตกรรม สาขาทันตกรรมจัดฟัน ทันตแพทยสภา
สมาชิก
Dr.Pornpan Jariyavithayakul
Education
-2010: Doctor of dental surgery (DDS.) Chulalongkorn university
-2019: Doctor of Philosophy (Ph.D.) in Oral Health Sciences (Orthodontics), Prince of Songkla university
-2019: Certificate in Orthodontic (5-year internship), Prince of Songkla university
-2019: Diploma of Thai Board of Orthodontics
ปัจจุบัน: Mos dental clinic
ประจำสาขา ซีคอนบางแค
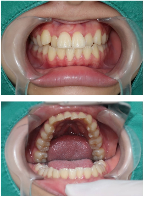
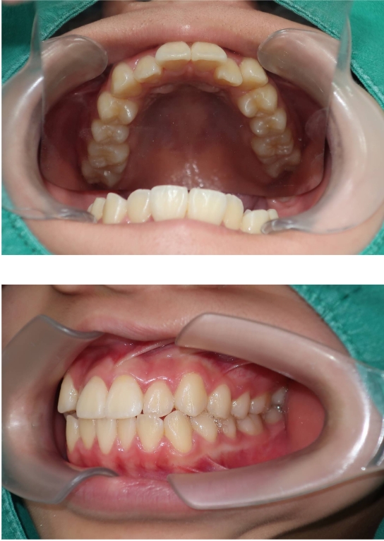
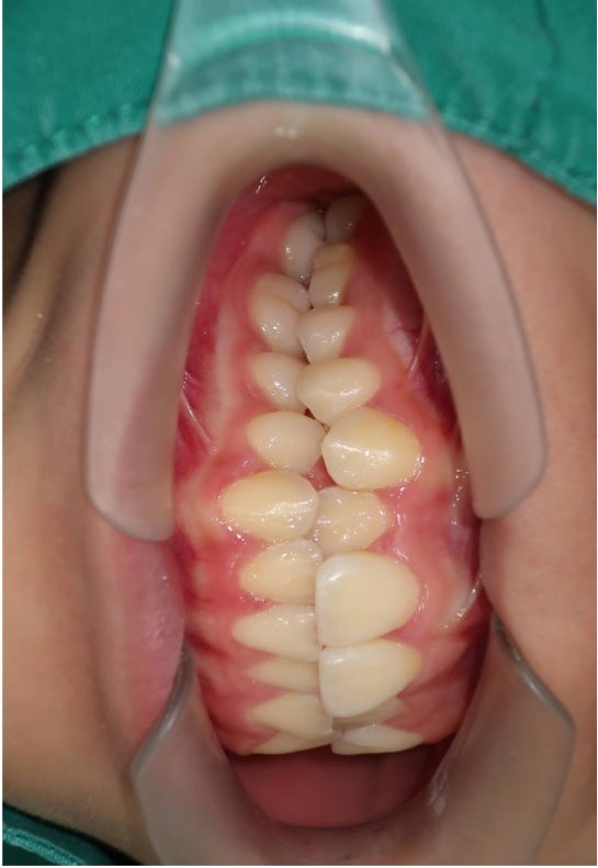
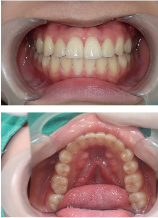
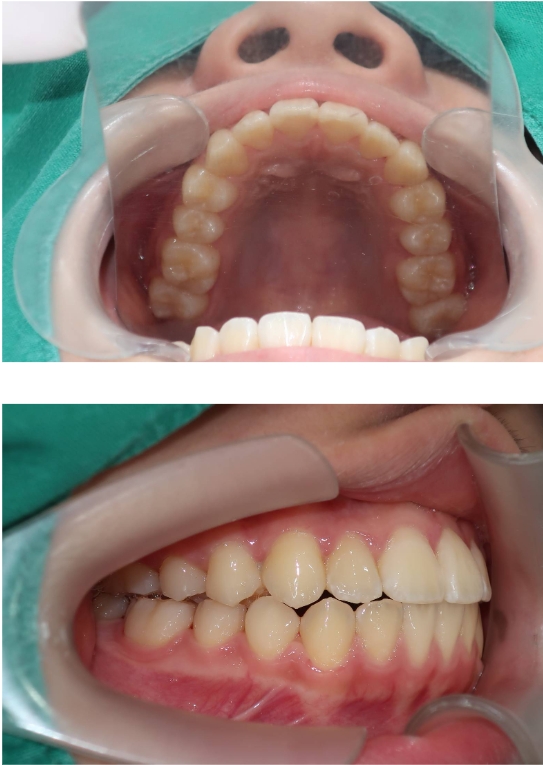
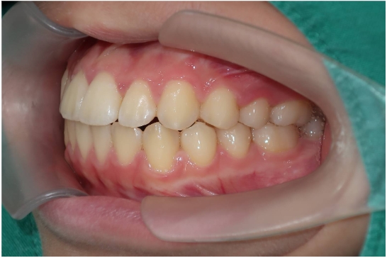
ตัวอย่างเคส
เคสจัดฟัน ก่อน



เคสจัดฟัน หลัง


