ทพญ. พรรณิสา กสิบุตร

ทพญ. พรรณิสา กสิบุตร

  • ทันตแพทย์ศาสตร์บัณฑิต มหิดล 
  • ป โท สาขาทันตแพทยศาสตร์ (หลักสูตรทันตกรรมจัดฟัน) มหาวิทยาลัย วลัยลักษณ์ (ได้รับการรับรองจาก สกอ.) 
  • Mini residency yonsei university 
  • Invisalign provider
  • Damon system course 
  • implant traning course WEGO

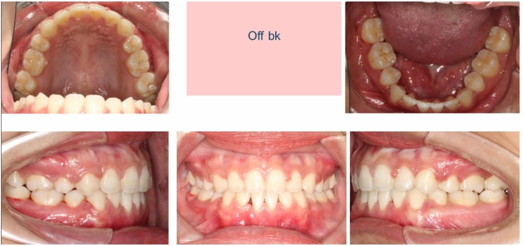
ตัวอย่างเคส

Case RPE

Case Class I extraction

เราใช้คุกกี้เพื่อพัฒนาประสิทธิภาพ และประสบการณ์ที่ดีในการใช้เว็บไซต์ของคุณ คุณสามารถศึกษารายละเอียดได้ที่ นโยบายความเป็นส่วนตัว และสามารถจัดการความเป็นส่วนตัวเองได้ของคุณได้เองโดยคลิกที่ ตั้งค่า

ตั้งค่าความเป็นส่วนตัว

คุณสามารถเลือกการตั้งค่าคุกกี้โดยเปิด/ปิด คุกกี้ในแต่ละประเภทได้ตามความต้องการ ยกเว้น คุกกี้ที่จำเป็น

ยอมรับทั้งหมด
จัดการความเป็นส่วนตัว
  • คุกกี้ที่จำเป็น
    เปิดใช้งานตลอด

    ประเภทของคุกกี้มีความจำเป็นสำหรับการทำงานของเว็บไซต์ เพื่อให้คุณสามารถใช้ได้อย่างเป็นปกติ และเข้าชมเว็บไซต์ คุณไม่สามารถปิดการทำงานของคุกกี้นี้ในระบบเว็บไซต์ของเราได้

  • คุกกี้เพื่อการวิเคราะห์

    คุกกี้เหล่านี้มีไว้เพื่อช่วยให้เราเข้าใจพฤติกรรมการใช้งานเว็บไซต์ของคุณได้ดียิ่งขึ้น ข้อมูลที่ได้จะถูกนำไปวิเคราะห์และใช้ในการพัฒนาปรับปรุงเนื้อหา บริการ และการทำงานของเว็บไซต์ เพื่อมอบประสบการณ์การใช้งานที่ดีที่สุดให้กับคุณ ทั้งนี้ข้อมูลดังกล่าวจะไม่มีการเปิดเผยต่อบุคคลภายนอกและจะถูกเก็บเป็นความลับ

บันทึกการตั้งค่า