
ทพ. วรุฒ ทองเกิด (หมอต้น)
ประวัติการศึกษา
2565 วุฒิบัตรผู้เชี่ยวชาญสาขาทันตกรรมจัดฟัน โดยทันตแพทยสภา
2560-2563 หลักสูตรทันตแพทย์ประจําบ้านเพื่อวุฒิบัตรแสดงความรู้ความชํานาญในการประกอบวิชาชีพ
ทันตกรรม (สาขาทันตกรรมจัดฟัน) มหาวิทยาลัยศรีนครินทรวิโรฒ
2551-2556 ทันตแพทยศาสตร์บัณฑิต เกียรตินิยมอันดับหนึ่ง (เหรียญทอง) มหาวิทยาลัยเชียงใหม่
2544-2550 โรงเรียนมงฟอร์ตวิทยาลัย (GPAX: 3.98)
ปัจจุบัน
- ท้นตแพทย์ผู้เชี่ยวชาญ สาขาทันตกรรมจัดฟัน (รับรองโดยราชวิทยาลัยทันตแพทย์แห่งประเทศไทย)
- อาจารย์พิเศษ สาขาทันตกรรมจัดฟัน มหาวิทยาลัยศรีนครินทรวิโรฒ
- สมาชิกสามัญสมาคมทันตแพทย์จัดฟันแห่งประเทศไทย (Thai Association of Orthodontists)
รางวัล และการอบรม - Official Invisalign provider
- Winner of APAC Orthodontic Post-graduate Forum Emerge 2021 (SEA regional)
- Certificate of 8th Yonsei International Mini-Residency for Advanced Orthodontics
- Guest speaker on Thai Association of Orthodontists’ Scientific meeting 2/2017 and 1/2026
- รางวัลคะแนนสูงสุด รวมทุกวิชาคณะทันตแพทยศาสตร์ตลอดปีการศึกษา ตั้งแต่ปีการศึกษา 2551-2556
- รางวัลคะแนนสูงสุดในการสอบเข้าโควตาภาคเหนือ มหาวิทยาลัยเชียงใหม่รอบปีการศึกษา 2551
เคสตัวอย่าง
เคส 1) ฟันยื่น / ปากอูม / ฟันล่างเบี้ยว Midline ไม่ตรง

เคส 2) แก้ไขฟันสบคร่อม / คางยื่น โดยไม่ผ่าตัด

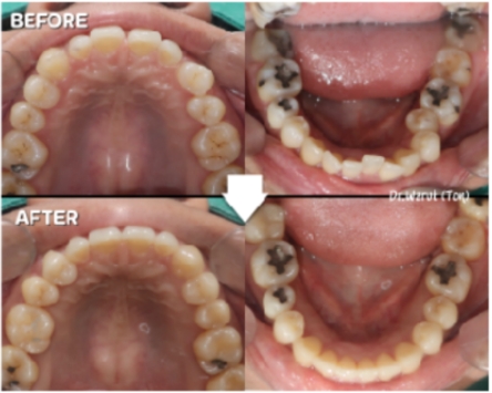
เคส 3) เคสดามอน (DAMON) แก้ฟันซ้อน ฟันยื่น โดยไม่ถอนฟัน

เคส 4) แก้ไขฟันยื่น ปากอูม

เคส 5) ลดฟันยื่น ยิ้มเห็นเหงือก ร่วมกับการใช้หมุดจัดฟัน

เคส 6) ฟันหน้าหาย ใช้ฟันซี่อื่นเคลื่อนมาทดแทน

เคส 7) ฟันยื่น สบเปิด ปิดปากไม่สนิท

เคส 8) เคสดามอน (DAMON)

เคส 9) เคสดามอน (DAMON) แก้ฟันซ้อน ฟันเขี้ยวหาย โดยไม่ถอนฟันเพิ่ม

เคส 10) INVISALIGN ESSENTIAL (5 เดือน)
