
ทพญ. อังคณา ต่อเสถียรพร
ทันตแพทยศาสตร์บัณฑิต มหาวิทยาลัยศรีนครินทรวิโรฒประสานมิตร
ประกาศนียบัตร หลักสูตรทันตกรรมจัดฟัน ออร์โธดอนติกส์เซนเตอร์
Invisalign Cert., Invisalign provider
——————–
ประวัติการทำงาน พ.ศ 2549 – ปัจจุบัน
ประสบการณ์จัดฟันกว่า 4,000 เคส +
ลงตรวจ Mos สาขา
สวนเพลินมาร์เกต, อุดมสุข,
อ่อนนุช, อินเตอร์เชนจ์
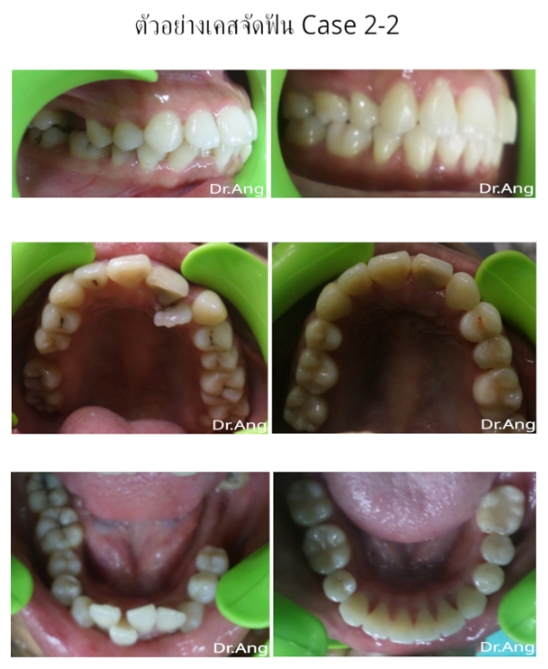
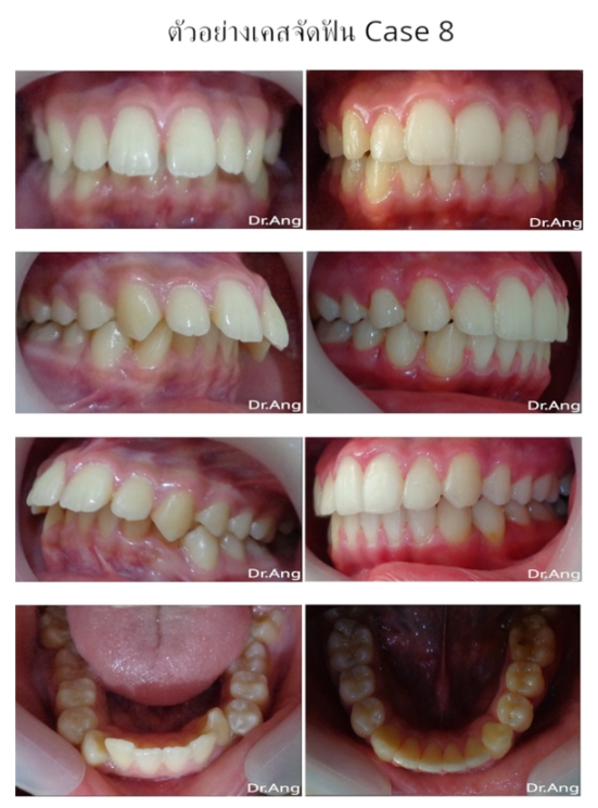
ตัวอย่างเคส






