การ X-ray มีประโยชน์ในการช่วยให้ทันตแพทย์มองเห็น ฟัน กระดูกขากรรไกร รากฟัน รวมถึงความผิดปกติที่มองไม่เห็นด้วยตา เช่น ฟันคุด ฟันผุ เนื้องอก ได้อย่างละเอียด หากตรวจพบความผิดปกติตั้งแต่เนิ่นๆ ก็จะช่วยลดความเสี่ยงของภาวะแทรกซ้อนขณะจัดฟันและช่วยให้การรักษาราบรื่นขึ้น
X-ray มีกี่แบบ อะไรบ้าง
การ X-ray ก่อนจัดฟันมี 2 แบบหลักๆ คือ Cephalometric และ Paranomic รวมถึงแบบพิเศษที่ตรวจตรงข้อมือ ใช้ตรวจในคนไข้ที่ยังเป็นเด็ก
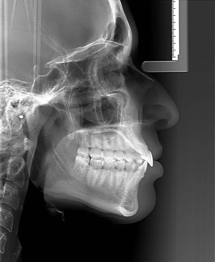
Cephalometric X-ray (ฟิล์มกะโหลกศีรษะด้านข้าง)

- เป็นการถ่ายภาพด้านข้างของศีรษะและขากรรไกร
- จะช่วยให้ทันตแพทย์เห็นโครงสร้างกระดูกขากรรไกร มุมของฟันหน้าบนและฟันหน้าล่าง
- ช่วยประเมินว่าควรมีการถอนฟันก่อนจัดฟันหรือไม่
Panoramic X-ray (ฟิล์มพาโนรามิก)

- เป็นการถ่ายภาพฟันทั้งหมด ทั้งฟันบนและฟันล่างในภาพเดียว
- สามารถใช้ตรวจหาความผิดปกติของฟัน เช่น รากฟัน กระดูกขากรรไกร และโครงสร้างอื่น ๆ ที่เกี่ยวข้อง
X-ray พิเศษอื่นๆ
- X-ray ข้อมือ (ในเคสเด็ก) เพื่อดูการเจริญเติบโตว่าเหลือมากน้อยเพียงใด ซึ่งจะมีผลต่อการเลือกวิธีจัดฟันและช่วงเวลาที่เหมาะสมในการรักษา
การ X-ray ก่อนจัดฟันสำคัญยังไง
2.1 ประเมินโครงสร้างกระดูกขากรรไกร
การถ่าย Cephalometric X-ray ทำให้ทันตแพทย์เห็นภาพของกระดูกขากรรไกรในมุมด้านข้างอย่างชัดเจน ทันตแพทย์จะได้เห็นว่าขากรรไกรบนและล่างมีตำแหน่งหรือรูปทรงที่ผิดปกติหรือไม่ นอกจากนั้นหากตรวจแล้วพบว่ามีปัญหาด้านการสบฟันที่ผิดปกติ ทันตแพทย์ก็จะสามารถวางแผนการจัดฟันหรืออาจจัดฟันร่วมกับการผ่าตัดขากรรไกรได้ดีขึ้น
2.2 ประเมินมุมของฟันหน้า
จาก Cephalometric X-ray ทันตแพทย์จะได้เห็นว่าฟันหน้าบนและฟันหน้าล่างมีลักษณะยื่นหรืองุ้มขนาดไหน ซึ่งจะช่วยให้ตัดสินใจได้ว่าควรจะต้องถอนฟันร่วมกับการจัดฟันเพื่อให้มีช่องว่างสำหรับเคลื่อนฟันหรือไม่ รวมถึงเลือกเครื่องมือจัดฟันร่วมกับคนไข้ว่าจะจัดฟันแบบไหน
2.3 ประเมินความแข็งแรงของรากฟัน
ใน Panoramic X-ray จะเห็นความยาวและรูปร่างของรากฟันทุกซี่ ถ้าหากรากฟันสั้นมากก็จะต้องใช้เครื่องมือจัดฟันที่ใช้แรงเคลื่อนฟันน้อยๆ เพื่อลดความเสี่ยงของการละลายของรากฟัน หากรากฟันสั้นมากๆ ก็อาจไม่เหมาะกับการจัดฟัน
2.4 ตรวจหาฟันเกินหรือฟันคุด
ในบางคนอาจมีฟันเกินหรือฟันคุดอยู่ในกระดูกขากรรไกร มองไม่เห็นด้วยตาเปล่า หากตรวจพบ ควรผ่าเพื่อเอาออกเพื่อป้องกันปัญหาที่อาจเกิดขึ้นในระหว่างจัดฟันและมีการเคลื่อนฟันในอนาคต
2.5 ตรวจหาความผิดปกติอื่น ๆ เช่น เนื้องอกในกระดูกขากรรไกร
ในบางครั้งที่ผู้ป่วยไม่เคยมีอาการมาก่อนเลย ก็สามารถเจอเนื้องอกหรือถุงน้ำ (cyst) ในกระดูกขากรรไกรได้ ในกรณีนี้จำเป็นต้องส่งต่อไปพบผู้เชี่ยวชาญเพื่อทำการรักษาหรือผ่าตัดก่อนเริ่มกระบวนการจัดฟัน
2.6 ประเมินฟันผุบริเวณซอกฟันหรือใต้อุดฟันเดิม
หลายๆ ครั้งเวลาประเมินด้วยสายตาว่ามีฟันผุหรือไม่แล้วไม่พบก็เพราะตำแหน่งที่ฟันผุไปอยู่ในบริเวณซอกฟันหรือใต้เหงือก ทำให้ยากต่อการตรวจพบด้วยตาเปล่า การ X-ray จะช่วยให้ทันตแพทย์เห็นฟันผุได้ชัดเจนขึ้น
2.7 ตรวจประเมินข้อต่อขากรรไกร (TMJ)
การถ่ายภาพ X-ray จะช่วยให้มองเห็นตำแหน่งและสภาพของกระดูกบริเวณขากรรไกรได้อย่างละเอียด หากพบว่ามีการเสื่อมของข้อต่อหรือรูปทรงกระดูกที่ผิดปกติ ทันตแพทย์จะได้สามารถวางแผนการรักษาและจัดฟันได้เหมาะสม ลดความเสี่ยงของอาการเจ็บปวด หรือภาวะแทรกซ้อนที่อาจตามมาในอนาคต
2.8 ประเมินการเจริญเติบโตในเคสเด็ก
ในเคสที่คนไข้ยังเป็นเด็ก อยู่ในช่วงวัยที่กระดูกและฟันกำลังเจริญเติบโต การถ่ายภาพ X-ray ข้อมือจะช่วยระบุได้ว่าเด็กยังเหลือระยะการเติบโตขนาดไหน หากตรวจพบว่ายังมีการเจริญเติบโตเหลืออยู่ ทันตแพทย์จะได้เลือกช่วงเวลาการจัดฟันหรือปรับใช้เทคนิคที่เหมาะสมเพื่อให้ได้ผลลัพธ์ที่ดีที่สุด
