ปลูกเหงือก คือ การผ่าตัดทางทันตกรรมเพื่อเพิ่มปริมาณเนื้อเยื่อเหงือกในช่องปาก โดยมีวัตถุประสงค์เพื่อแก้ไขปัญหาเหงือกร่น ปกป้องรากฟัน และปรับปรุงสุขภาพช่องปากโดยรวม วิธีการนี้อาจใช้เนื้อเยื่อจากเพดานปากหรือวัสดุทดแทนก็ได้ ซึ่งเนื้อเยื่อดังกล่าวจะถูกย้ายมาปิดตรงบริเวณที่เหงือกบาง
การปลูกเหงือกจะช่วยเสริมความสวยงามของรอยยิ้ม ลดอาการเสียวฟัน และป้องกันการติดเชื้อ หลังการรักษาผู้ป่วยจะต้องดูแลสุขอนามัยช่องปากอย่างเคร่งครัดเพื่อให้การปลูกเหงือกประสบความสำเร็จ
เหงือกร่นเกิดจากอะไรได้บ้าง
- การแปรงฟันแรงเกินไปหรือแปรงผิดวิธี: การใช้แปรงสีฟันขนแปรงแข็งเกินไป การออกแรงกดมากเกินไปตอนแปรงฟัน เป็นสาเหตุหลักที่ทำให้เนื้อเหงือกค่อยๆ สึกกร่อนและร่นลงได้
- โรคปริทันต์อักเสบ (โรคเหงือก): เกิดจากการสะสมของคราบจุลินทรีย์และหินปูน ซึ่งเป็นแหล่งสะสมของแบคทีเรียที่เข้าไปทำลายเนื้อเยื่อเหงือกและกระดูกรองรับฟัน ทำให้เหงือกร่นลงอย่างต่อเนื่อง
- พันธุกรรม: บางคนอาจมีเหงือกที่บางหรือบอบบางกว่าคนทั่วไปมาโดยกำเนิด ทำให้มีความเสี่ยงที่จะเกิดเหงือกร่นได้ง่ายกว่า
- นอนกัดฟัน: การนอนกัดฟัน สามารถสร้างแรงกดต่อฟันและเหงือกจนส่งผลให้เหงือกร่นและคอฟันสึกได้
- การสูบบุหรี่: สารเคมีในบุหรี่ทำให้คราบพลัคสะสมบนฟันได้ง่ายขึ้น รวมถึงลดการไหลเวียนของเลือดที่ไปเลี้ยงเหงือก ทำให้เหงือกอ่อนแอและติดเชื้อได้ง่าย
- ปัจจัยอื่นๆ: เช่น การเปลี่ยนแปลงของฮอร์โมน (ช่วงวัยรุ่น, ตั้งครรภ์), การจัดฟัน หรือการใส่ฟันปลอมที่ไม่พอดี ทำให้เกิดแรงกดที่ผิดปกติหรือการระคายเคืองต่อเหงือกได้
ความสำคัญของเหงือกต่อสุขภาพช่องปาก
เหงือกมีความสำคัญอย่างยิ่งต่อสุขภาพช่องปากเนื่องจากทำหน้าที่เป็นเสมือนเบาะรองรับแรงในการบดเคี้ยว และปกป้องฟันจากการสึกหรอและการติดเชื้อ นอกจากนี้ยังช่วยยึดฟันให้อยู่ในตำแหน่งที่ถูกต้อง ทำให้เราสามารถพูดและเคี้ยวอาหารได้อย่างมีประสิทธิภาพ หากเหงือกมีปัญหาหรืออักเสบ ก็อาจนำไปสู่โรคเหงือกอักเสบ โรคปริทันต์ และการสูญเสียฟันได้
เมื่อไหร่ถึงต้องปลูกเหงือก

ทันตแพทย์อาจพิจารณาปลูกเหงือกให้กับคนไข้เมื่อมีอาการดังนี้:
- เหงือกร่นลงอย่างชัดเจน จนมองเห็นคอฟันหรือรากฟัน ซึ่งทำให้ฟันดูยาวขึ้นผิดปกติ
- มีอาการเสียวฟันรุนแรงและเรื้อรัง บริเวณคอฟัน ซึ่งเกิดจากเนื้อฟันส่วนที่ไม่มีเคลือบฟันปกป้องถูกเปิดออกสู่ภายนอก
- เพื่อป้องกันความเสียหายในอนาคต แม้จะยังไม่มีอาการ แต่เหงือกที่บางและร่นมีความเสี่ยงสูงที่รากฟันจะผุ ทันตแพทย์ก็จะให้ปลูกเหงือกป้องกันไว้ก่อน
- เพื่อความสวยงามและสร้างความมั่นใจให้กับคนไข้ เวลาคนไข้ยิ้มแล้วเห็นเหงือกไม่เท่ากัน หรือฟันดูยาวเกินไป
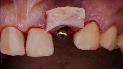
- เพื่อเตรียมพื้นที่สำหรับทันตกรรมอื่นๆ เช่น การทำรากฟันเทียม หรือการจัดฟัน ที่ต้องการฐานเหงือกที่แข็งแรงและมีปริมาณเพียงพอ
ข้อดีของการปลูกเหงือก
- ลดอาการเสียวฟัน : เมื่อส่วนที่ไม่มีเคลือบฟันปกป้อง ได้มีเหงือกมาคลุม อาการเสียวฟันก็จะลดลงอย่างชัดเจน
- หยุดการร่นของเหงือก : ช่วยป้องกันไม่ให้เหงือกร่นไปมากกว่านี้ ซึ่งอาจจะนำไปสู่อาการฟันโยกและการสูญเสียฟันในอนาคต
- ลดความเสี่ยงที่รากฟันจะผุและลดความเสี่ยงของการสึกของคอฟัน
- ทำให้รอยยิ้มดูสวยขึ้น เหงือกดูสม่ำเสมอ อวบอิ่ม
- เพิ่มความแข็งแรงให้เหงือก
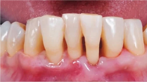
อาการเหงือกร่นที่สังเกตได้ด้วยตัวเอง
อาการเหงือกร่นมักจะเกิดขึ้นช้าๆ จนบางทีคนไข้ลืมสังเกต จะมารู้ตัวอีกทีก็ตอนที่เหงือกร่นไปมากแล้ว ทางที่ดีควรใช้สัญญาณต่อไปนี้เพื่อสังเกตอาการตัวเอง
- ฟันดูยาวขึ้น เป็นสัญญาณที่ชัดเจนและดูได้ง่ายที่สุด เมื่อไหร่ก็ตามที่รู้สึกเหมือนกับว่าฟันยาวขึ้น ให้สงสัยว่าเหงือกร่นไว้ก่อนเลย
- เสียวฟันเมื่อทานของร้อน เย็น เปรี้ยว หวาน เพราะรากฟันที่ไม่มีเคลือบฟันป้องกันสัมผัสกับอาหารและเครื่องดื่มเหล่านี้
- เห็นรอยเว้าหรือร่องรอยต่อระหว่างเหงือกกับตัวฟัน เมื่อใช้นิ้วไปแตะดูจะรู้สึกว่าเหงือกเว้าลงไป
- เหงือกบวมแดง เลือดออกง่ายแม้จะแปรงฟันเบาๆ หรือใช้ไหมขัดฟันก็มีเลือดออกง่ายกว่าปกติ
- ฟันห่าง หรือ ฟันโยก ถ้ามีอาการนี้คือเหงือกร่นรุนแรงแล้ว ให้รีบมาพบทันตแพทย์
- มีกลิ่นปากจากร่องตามรอยเหงือกที่กลายเป็นแหละสะสมเศษอาหารเล็กๆ และแบคทีเรีย ทำให้มีกลิ่นปาก
วิธีการปลูกเหงือกแบบต่างๆ
1. การปลูกถ่ายเหงือกแบบเนื้อเยื่อเกี่ยวพัน (Connective Tissue Graft)
การปลูกถ่ายเหงือกแบบเนื้อเยื่อเกี่ยวพันเป็นวิธีการปลูกเหงือกที่ได้รับความนิยมมากที่สุด สามารถใช้รักษาเหงือกร่นได้ทั้งตำแหน่งเดียวหรือหลายตำแหน่ง วิธีการนี้สามารถช่วยเพิ่มความหนาและความแข็งแรงให้กับเหงือก รวมถึงสามารถปิดรากฟันที่เผยออกมาได้เป็นอย่างดี
ขั้นตอนการรักษา:
- ทันตแพทย์ตัดชิ้นเนื้อเยื่อจากใต้เยื่อบุผิวบริเวณเพดานปาก โดยมีความหนาประมาณ 1-2 มิลลิเมตร
- นำชิ้นเนื้อเยื่อที่ตัดออกมา มายึดติดกับบริเวณเหงือกที่ต้องการปลูก
- ชิ้นเนื้อเยื่อที่ปลูกถ่ายจะถูกวางบางส่วนบนเยื่อหุ้มกระดูกฟัน และบางส่วนจะมีแผ่นเหงือกปิดทับไว้ด้านบน
- เย็บปิดปากแผลบริเวณเพดานปากให้สนิท
ข้อดีของวิธีนี้:
- ช่วยเพิ่มความหนาและความแข็งแรงให้กับเหงือก
- ปิดรากฟันที่โผล่ออกมาได้อย่างมีประสิทธิภาพ
- เหมาะสำหรับการรักษาเหงือกร่นทั้งตำแหน่งเดียวและหลายตำแหน่ง
2. การปลูกถ่ายแผ่นเหงือกอิสระ (Free Gingival Graft)

การปลูกถ่ายแผ่นเหงือกอิสระเป็นวิธีการรักษาปัญหาเหงือกร่นที่มีลักษณะคล้ายคลึงกับการปลูกถ่ายเนื้อเยื่อยึดต่อ แต่มีความแตกต่างในรายละเอียดและข้อบ่งชี้ในการใช้
ขั้นตอนการรักษา:
- ทันตแพทย์ตัดชิ้นเนื้อเยื่อทั้งชิ้นจากเพดานปากโดยตรง โดยมีความหนาประมาณ 2 มิลลิเมตร
- นำชิ้นเนื้อเยื่อที่ตัดออกมาติดเข้ากับบริเวณเหงือกที่ต้องการปลูก
- วางชิ้นเนื้อเยื่อบนเยื่อหุ้มกระดูกฟันเพื่อปิดรากฟัน
ข้อดีของวิธีนี้:
- ช่วยเพิ่มความหนาของเหงือกได้เป็นอย่างดี
- เหมาะสำหรับการแก้ไขปัญหาเหงือกบาง
- สามารถปิดรากฟันที่เผยออกมาได้อย่างมีประสิทธิภาพ
ความแตกต่างจากการปลูกถ่ายเนื้อเยื่อยึดต่อ:
- ใช้เนื้อเยื่อทั้งชิ้นจากเพดานปากโดยตรง ไม่ได้ตัดเฉพาะชั้นใต้เยื่อบุผิว
- เหมาะสำหรับกรณีที่ต้องการเพิ่มความหนาของเหงือกเยอะๆ
3. การปลูกถ่ายเหงือกแบบเลื่อนแผ่นเหงือก (Pedicle Graft)
การปลูกถ่ายเหงือกแบบเลื่อนแผ่นเหงือกเป็นวิธีการรักษาทางทันตกรรมที่ใช้แก้ไขปัญหาเหงือกร่น โดยไม่จำเป็นต้องตัดชิ้นเนื้อเยื่อจากบริเวณเพดานปาก แต่ใช้วิธีการเลื่อนเนื้อเยื่อจากบริเวณใกล้เคียงมาปิดส่วนที่มีปัญหาแทน
ขั้นตอนการทำ:
- ทันตแพทย์ประเมินบริเวณที่ต้องการรักษาและเนื้อเยื่อข้างเคียง
- ทำการกรีดเหงือกบริเวณด้านข้างหรือเหนือฟันที่มีปัญหา
- เลื่อนแผ่นเหงือกที่กรีดไว้มาปิดบริเวณรากฟันที่เผยออกมา โดยยังคงให้ส่วนฐานของเนื้อเยื่อติดอยู่กับตำแหน่งเดิม
- เย็บแผ่นเหงือกให้อยู่ในตำแหน่งใหม่
- ดูแลแผลผ่าตัดและติดตามผลการรักษา
ข้อดีของวิธีนี้:
- ไม่ต้องตัดชิ้นเนื้อเยื่อจากบริเวณอื่น ลดความเจ็บปวดและการบาดเจ็บ
- สีและลักษณะของเนื้อเยื่อที่ใช้จะกลมกลืนกับบริเวณที่รักษา
- การไหลเวียนเลือดยังคงดี เนื่องจากเนื้อเยื่อยังมีส่วนที่ติดกับตำแหน่งเดิม
- เหมาะสำหรับการรักษาเหงือกร่นในบริเวณที่มีเนื้อเยื่อข้างเคียงเพียงพอ
- ระยะเวลาในการรักษาและฟื้นตัวค่อนข้างสั้น
ความเสี่ยงและผลข้างเคียงที่อาจเกิดขึ้นได้
การผ่าตัดปลูกถ่ายเหงือกโดยทั่วไปเป็นหัตถการที่ค่อนข้างปลอดภัย แต่ก็อาจมีความเสี่ยงบางประการ ควรติดต่อทันตแพทย์โดยด่วนหากพบอาการดังต่อไปนี้:
- เลือดออกไม่หยุดเกิน 20 นาทีหลังการผ่าตัด
- บวม ช้ำ หรือปวดรุนแรงบริเวณที่ผ่าตัด
- มีไข้ หรือพบหนองในบริเวณที่ผ่าตัด
- เกิดอาการเสียวฟันผิดปกติ
- แพ้ยาชา
- ความผิดปกติของฟัน เช่น ฟันโยก ฟันห่าง หรือมีช่องว่างระหว่างฟันที่ไม่เคยมีมาก่อน
ระยะเวลาในการฟื้นตัวหลังปลูกเหงือก
การปลูกเหงือกโดยทั่วไปใช้เวลาประมาณ 1-2 ชั่วโมง แต่ระยะเวลาการฟื้นตัวหลังการปลูกเหงือกจะแตกต่างกันไปในแต่ละบุคคล โดยเฉลี่ยแล้วผู้ป่วยจะใช้เวลาประมาณ 1-2 สัปดาห์ในการฟื้นตัว อย่างไรก็ตาม สิ่งที่สำคัญจริงๆ คือการดูแลตนเองอย่างเหมาะสมหลังการปลูกเหงือก
ในช่วง 24 ชั่วโมงแรกหลังการผ่าตัด ควรประคบน้ำเย็นบริเวณช่องปากเพื่อลดอาการบวมและช่วยห้ามเลือด หากมีอาการปวด สามารถรับประทานยาแก้ปวดตามที่แพทย์สั่ง เช่น พาราเซตามอล
ในช่วง 1-2 สัปดาห์แรกหลังการผ่าตัด การดูแลรักษาควรปฏิบัติดังนี้:
- รับประทานอาหารอ่อนและเคี้ยวเบาๆ เช่น ข้าวต้ม โจ๊ก ซุป นม โยเกิร์ต
- หลีกเลี่ยงอาหารรสจัด อาหารร้อนจัด เย็นจัด อาหารแข็ง และอาหารหมักดอง
- งดเครื่องดื่มแอลกอฮอล์และการสูบบุหรี่
- งดการออกกำลังกายหนัก
- ทำความสะอาดช่องปากตามคำแนะนำของแพทย์ โดยใช้น้ำยาบ้วนปากที่ทันตแพทย์แนะนำ
สำหรับการแปรงฟันและใช้ไหมขัดฟันในบริเวณที่ได้รับการผ่าตัด ควรหลีกเลี่ยงเป็นเวลาประมาณ 2-4 สัปดาห์ แต่สามารถแปรงฟันได้ตามปกติในบริเวณอื่นๆ โดยระมัดระวังไม่ให้กระทบกระเทือนบริเวณแผล
ระหว่างการฟื้นตัว ควรพักผ่อนให้เพียงพอและปฏิบัติตามคำแนะนำของแพทย์อย่างเคร่งครัด รวมถึงการรับประทานยาตามที่แพทย์สั่ง และพบแพทย์ตามนัด หากมีอาการผิดปกติใดๆ ควรปรึกษาแพทย์ทันทีโดยไม่ต้องรอถึงวันนัด
ค่าใช้จ่ายในการปลูกเหงือก
ราคาในการปลูกเหงือกอยู่ที่ 15,000 บาท (โปรดสอบถามราคาโดยตรงจากทันตแพทย์ก่อนรับการรักษา เพราะราคาอาจเปลี่ยนแปลงได้ตามแต่ละเคส)
คำถามพบบ่อย FAQ เกี่ยวกับการปลูกเหงือก
ปลูกเหงือกเจ็บไหม
ระหว่างทำจะไม่เจ็บ เพราะใช้ยาชา แต่หลังจากยาชาหมดฤทธิ์จะปวดแผล ซึ่งทันตแพทย์จะสั่งยาแก้ปวดให้ สามารถกินดักไว้ก่อนได้ อาการปวดจะดีขึ้นมากหลังภายใน 2-3 วัน
หลังปลูกเหงือก บวมกี่วัน นานไหมกว่าจะหาย
อาการบวมและการฟื้นตัวจะแบ่งเป็นช่วงๆ ได้ดังนี้
- ภายใน 2-3 วันแรกจะบวมที่สุดและจะค่อยๆ ยุบลงภายในสัปดาห์แรก การประคบเย็นจะช่วยลดอาการบวมได้ดี
- ภายใน 1-2 สัปดาห์ แผลจะเริ่มสมานตัว ทันตแพทย์อาจจะนัดมาตัดไหม (ถ้าไม่ได้ใช้ไหมละลาย) และตรวจดูความเรียบร้อยของแผล
- ภายใน 1-2 เดือน แผลภายนอกดูหายแล้ว แต่การจะให้หายสนิทเพื่อให้สมานกับเนื้อเยื่อเหงือกเดิมอาจจะใช้เวลาหลายสัปดาห์ถึงหลายเดือน อย่างไรก็ตามสามารถใช้ชีวิตได้ตามปกติแล้ว
ข้อดี ข้อเสีย และความเสี่ยงของการปลูกเหงือกมีอะไรบ้าง
ข้อดี:
- หยุดยั้งการลุกลามของภาวะเหงือกร่น
- ลดและแก้ไขอาการเสียวฟันได้อย่างมีประสิทธิภาพ
- ปกป้องรากฟันจากความเสี่ยงของฟันผุ
- ยิ้มสวยขึ้น ฟันดูได้สัดส่วนที่เหมาะสม
ข้อเสีย:
- อาจมีแผลผ่าตัด 2 ที่ในช่องปาก (กรณีใช้เนื้อเยื่อจากเพดานปาก)
- ต้องระมัดระวังเรื่องการรับประทานอาหารในช่วงพักฟื้น
- มีค่าใช้จ่ายสูงกว่าการรักษาโรคเหงือกเบื้องต้น
ความเสี่ยง:
- มีความเสี่ยงทั่วไปจากการผ่าตัด เช่น การติดเชื้อ, เลือดออก, หรืออาการปวดบวม
- ในบางเคส เนื้อเยื่อที่ปลูกถ่ายอาจไม่ติดสมบูรณ์ 100%
สีของเหงือกที่ปลูกอาจแตกต่างจากเหงือกบริเวณข้างเคียงเล็กน้อยในช่วงแรก
