เหงือกร่น คือ ภาวะที่เนื้อเยื่อเหงือกถูกกดหรือร่นลงมาจากตำแหน่งปกติ ทำให้รากฟันโผล่พ้นขอบเหงือกและมองเห็นได้ชัดเจน ส่งผลให้ฟันดูยาวขึ้นกว่าปกติ ภาวะนี้อาจเกิดจากหลายสาเหตุ เช่น การแปรงฟันที่รุนแรงเกินไป การสะสมของคราบหินปูน โรคปริทันต์ การเสื่อมสภาพตามวัย หรือพันธุกรรม เหงือกร่นสามารถนำไปสู่ปัญหาสุขภาพช่องปากอื่นๆ เช่น อาการเสียวฟัน ฟันผุ หรือการสูญเสียฟันในระยะยาว หากไม่ได้รับการรักษาอย่างเหมาะสม
ปัญหาเหงือกร่นเกิดจากอะไร

ปัญหาเหงือกร่น เกิดได้จากหลายสาเหตุ เช่น อายุเพิ่มขึ้น กรรมพันธุ์จากพ่อแม่ที่มีภาวะเหงือกร่น การแปรงฟันแรงเกินไป การดูแลสุขภาพช่องปากที่ไม่ดีพอทำให้เกิดการสะสมของคราบพลัคจนทำให้เหงือกร่นในที่สุด
สาเหตุหลักๆ ที่ทำให้เกิดภาวะเหงือกร่นได้แก่
การเสื่อมตามอายุ – เมื่ออายุมากขึ้นไม่ว่าส่วนไหนของร่างกายก็เสื่อมถอยลง รวมถึงสุขภาพเหงือกซึ่งจะไม่ดีเหมือนก่อน เหงือกจะอ่อนแอและร่นลงง่ายในผู้สู้งวัย
การแปรงฟัน – การแปรงฟันแรงจนเกินไป รวมถึงการแปรงฟันที่ใช้ขนแปรงแข็ง เมื่อแปรงฟันไปนานๆ แรงที่กดจากแปรงสีฟันจะค่อยๆ ดันเหงือกลงมาจนมีภาวะเหงือกร่นในที่สุด นอกจากนั้นหากแปรงฟันไม่สะอาดจนกลายเป็นที่สะสมของคราบพลัคจนเกิดคราบหินปูน ก็จะทำให้เหงือกอ่อนแอลงและเกิดภาวะเหงือกร่นได้เช่นเดียวกัน
คราบหินปูน – คราบหินปูนเกิดจากแบคทีเรียในช่องปากทำปฏิกิริยากับเศษอาหารตามซอกฟันที่เราทำความสะอาดได้ไม่ดีและปล่อยสารที่มีฤทธิ์เป็นกรดออกมาทำให้เหงือกอักเสบ เมื่อปล่อยทิ้งไว้นานๆ กระดูกที่รองรับรากฟันจะละลายและสูญเสียเนื้อเยื่อเหงือกบริเวณนั้นทำให้เหงือกร่นตามมา
อาการเหงือกร่นมีอะไรบ้าง
อาการเหงือกร่นจะสังเกตได้ค่อนข้างยากเพราะจะค่อยๆ เกิด มารู้สึกตัวอีกทีก็มีภาวะเหงือกร่นแล้ว ด้วยการเห็นว่าเหงือกของตัวเองร่นลงไปจนเห็นโคนฟัน
ตัวอย่างของอาการที่อาจจะเกิดขึ้นเพื่อให้เป็นจุดสังเกตเพื่อป้องกันเหงือกร่นตั้งแต่เนิ่นๆ
- ฟันดูยาวขึ้นและเหงือกดูสั้นลง
- เสียวฟันมากขึ้นกว่าปกติ โดยเฉพาะเมื่อทานอาหารหรือเครื่องดื่มที่ร้อนหรือเย็นจัด
- ปวดหรือเจ็บบริเวณเหงือก โดยเฉพาะเวลาแปรงฟัน
- มีเลือดออกตามไรฟันขณะแปรงฟันหรือใช้ไหมขัดฟัน
- เหงือกบวมแดงและอักเสบ
- ฟันโยกจากการที่เหงือกร่นลง เพราะเหงือกเป็นตัวช่วงประคองฟัน
- มีกลิ่นปาก ปากเหม็น
- รู้สึกไม่สบายในช่องปาก หรือมีความรู้สึกผิดปกติบริเวณเหงือก
ถ้ามีอาการเหล่านี้ก็ควรรีบไปพบทันตแพทย์เพราะจะได้ทำการรักษาตั้งแต่เนิ่นๆ ไม่ให้เกิดภาวะเหงือกร่นจนลุกลามส่งผลเสียต่อสุขภาพช่องปากในระยะยาว
วิธีรักษาอาการเหงือกร่น
เหงือกร่นสามารถทำการรักษาได้หลายวิธี ขึ้นกับความรุนแรงของอาการ หากอาการไม่มากทันตแพทย์จะใช้วิธีที่ไม่ต้องผ่าตัด เช่น ขูดหินปูน เกลารากฟัน หรือใช้ยาสีฟันลดอาการเสียวฟัน แต่หากมีภาวะเหงือกร่นเยอะ ทันตแพทย์จะแนะนำให้ทำการผ่าตัดปลูกเหงือกแทนเพื่อให้การรักษาเป็นไปอย่างเต็มประสิทธิภาพ

- ขูดหินปูน – ใช้ในกรณีที่อาการเหงือกร่นไม่รุนแรง โดยการขูดเอาหินปูนซึ่งเป็นแหล่งสะสมของเชื้อโรคออกและให้ร่างกายค่อยๆ ฟื้นตัว
- เกลารากฟัน – ใช้ในกรณีที่อาการเหงือกร่นไม่รุนแรงมาก เพื่อกำจัดคราบจุลินทรีย์และหินปูนที่สะสมลึกลงไปในเหงือกบริเวณรากฟัน ซึ่งจะต้องทำการฉีดยาและทำความสะอาดทีละส่วน หากเป็นโรคปริทันต์อาจต้องผ่าตัดเปิดเหงือกร่วมด้วย
- ปลูกเหงือก – ใช้ในกรณีที่เหงือกร่นรุนแรงหรือการรักษาแบบไม่ผ่าตัดอื่นๆ ไม่ได้ผล ทำโดยการปลูกถ่ายเนื้อเยื่อเหงือกโดยนำเนื้อเยื่อจากเพดานปากมาปลูกถ่ายบริเวณที่เหงือกร่น หรือการเลื่อนเหงือกไปปิดรากฟันที่โผล่ออกมา
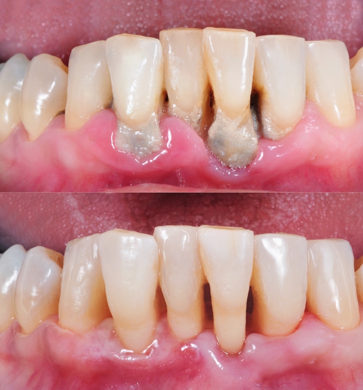
การรักษาเหงือกร่นด้วยการปลูกเหงือก
หากเหงือกร่นจนเห็นรากฟันชัดเจน สามารถใช้การรักษาด้วยการผ่าตัดปลูกเหงือก (Gum grafting) ซึ่งถือเป็นวิธีมาตรฐานและมีประสิทธิภาพสูงในการแก้ปัญหาเหงือกร่นได้ ที่ MOS Dental Clinic เรามีผู้เชี่ยวชาญเฉพาะด้านที่จะทำการผ่าตัดนำเนื้อเยื่อเหงือกมาปิดตรงรากฟันได้
ขั้นตอนการปลูกเหงือกมีดังนี้
- ทันตแพทย์จะประเมินก่อนว่าเหงือกร่นรุงแรงหรือไม่ และเลือกการรักษาให้เหมาะสมกับแต่ละเคส
- ฉีดยาชาบริเวณที่จะทำการผ่าตัด
- เปิดเหงือกบริเวณที่ร่นออก เพื่อเตรียมพื้นที่สำหรับปลูกเหงือกใหม่
- นำเนื้อเยื่อจากบริเวณเพดานปากของคนไข้เอง มาใช้เป็นเหงือก
- นำเนื้อเยื่อมาวางปิดตรงรากฟันที่โผล่ออกมา เย็บเข้ากับเหงือกเดิม


ปลูกเหงือกเจ็บไหม
ระหว่างการผ่าตัดจะไม่เจ็บเพราะฤทธิ์ยาชา แต่เมื่อยาชาหมดฤทธิ์หลังการผ่าตัด จะมีอาการปวดสองที่คือ เพดานปาก ซึ่งเป็นตำแหน่งที่เราเอาเนื้อเยื่อออกมา กับตำแหน่งตรงรากฟันที่ทำการปลูกถ่าย คนไข้สามารถทานยาแก้ปวดเพื่อบรรเทาอาการปวดได้ และอาการจะค่อยๆ ดีขึ้นภายใน 2-3 วัน
วิธีป้องกันเหงือกร่น
- แปรงฟันอย่างถูกวิธีวันละ 2 ครั้ง ครั้งละอย่างน้อย 2 นาที
- ใช้ไหมขัดฟันเป็นประจำทุกวันเพื่อกำจัดเศษอาหารและคราบจุลินทรีย์ตามซอกฟันที่แปรงเข้าไม่ถึง
- หลีกเลี่ยงการสูบบุหรี่ การใช้ไม้จิ้มฟันแคะเศษอาหารเพราะจะทิ่มให้เหงือกร่นได้
- ดื่มน้ำวันละ 8 แก้วเพื่อกระตุ้นการสร้างน้ำลาย
- พบทันตแพทย์เป็นประจำทุก 6 เดือน การไปพบทันตแพทย์เป็นประจำจะช่วยให้เจอปัญหาและสามารถแก้ไขได้ตั้งแต่เนิ่นๆ
คำถามที่พบบ่อยเกี่ยวกับเหงือกร่น (FAQ)
จัดฟันอยู่ แล้วเหงือกร่น ทำยังไงดี?
ภาวะเหงือกร่นระหว่างการจัดฟันสามารถเกิดขึ้นได้ จากสาเหตุหลักๆ คือ
- การเคลื่อนตัวของฟัน: การเคลื่อนฟันไปยังตำแหน่งใหม่อาจส่งผลต่อระดับของเหงือกและกระดูกที่รองรับฟันได้ในบางกรณี
- การดูแลความสะอาดยากขึ้น: เครื่องมือจัดฟันเป็นแหล่งสะสมของคราบพลัคและเศษอาหารได้ง่าย หากทำความสะอาดไม่ทั่วถึง อาจนำไปสู่โรคเหงือกอักเสบ ซึ่งเป็นสาเหตุหนึ่งของเหงือกร่น
แนวทางการแก้ไขคือควรไปพบทันตแพทย์และปรึกษา เพื่อดูว่าเหงือกร่นเกิดจากสาเหตุใด หากพบว่าเกิดจากการมีหินปูนและอักเสบมาก ก็จะทำการขูดหินปูนเพื่อควบคุมการอักเสบก่อน หรือหากเกิดจากแผนการรักษา ก็อาจต้องปรับแรงหรือทิศทางในการดึงฟัน เป็นต้น
หลังผ่าตัดปลูกเหงือกแล้ว จะกลับมาร่นอีกหรือไม่?
การผ่าตัดปลูกเหงือกเป็นการแก้ไขความเสียหายที่เกิดขึ้นแล้ว และโดยทั่วไปมีอัตราความสำเร็จสูงในการเพิ่มความหนาแน่นของเหงือกและปิดรากฟันที่โผล่ออกมา อย่างไรก็ตามมีปัจจัยที่อาจจะทำให้เหงือกกลับมาร่นอีกครั้งดังนี้
- แปรงฟันแรงเกินไป ใช้แปรงสีฟันที่มีขนแข็งมากเกินไป จนทำให้เหงือกร่นอีก
- แปรงฟันไม่สะอาดพอ มีคราบหินปูนสะสมจนเหงือกอักเสบหรือเกิดโรคปริทันต์
- มีพฤติกรรมที่ทำให้เหงือกร่น เช่น นอนกัดฟัน ไม่ใส่เฝือกสบฟัน
- การสูบบุหรี่มีผลเสียกับสุขภาพเหงือก
