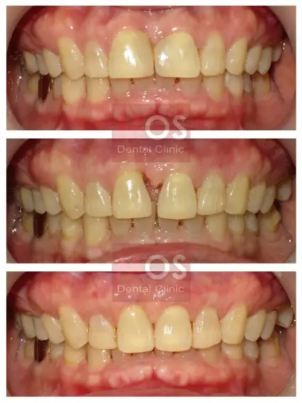
การจัดฟันแบบใส Invisalign เป็นการจัดฟันที่เป็นที่นิยมมากในกลุ่มคนที่ต้องใช้รอยยิ้มทำงานอยู่เสมอ เป็นคำตอบสำหรับไลฟ์สไตล์ยุคใหม่ที่บุคลิกภาพและความมั่นใจเป็นสิ่งสำคัญ ด้วยนวัตกรรมวัสดุ SmartTrack ที่มีความใสและยืดหยุ่น ทำให้เครื่องมือจัดฟันใสนั้นแทบมองไม่เห็นระหว่างที่ทำการจัดฟัน รวมถึงยังสามารถถอดออกได้ง่ายเมื่อถึงเวลาทานอาหารหรือทำความสะอาด จึงไม่ต้องกังวลเรื่องเศษอาหารติดตามเครื่องมือ
หัวใจการทำงานของการจัดฟันใสคือการสร้างแรงกดที่สม่ำเสมอและนุ่มนวล ทันตแพทย์จะติดปุ่ม Attachment ไว้บนฟันเพื่อควบคุมทิศทางการเคลื่อนไหวของฟัน คนไข้จะค่อยๆ เปลี่ยนเครื่องมือจัดฟันใสไปทีละชุดเพื่อให้ฟันค่อยๆ เคลื่อนที่ไปยังตำแหน่งที่ได้วางแผนไว้สำหรับคุณโดยเฉพาะ
การจัดฟันใส Invisalign แบบต่างๆ และระยะเวลาในการจัดฟัน
- Invisalign Full / Comprehensive
- เหมาะสำหรับ: เคสที่มีปัญหาซับซ้อน สามารถแก้ปัญหาทางทันตกรรมได้แทบทุกรูปแบบ เป็นที่นิยมที่สุด
- จำนวนเครื่องมือ: ไม่จำกัดจำนวนชิ้น (ขึ้นอยู่กับแผนการรักษาของแต่ละบุคคล)
- ระยะเวลาการรักษา: ประมาณ 12-18 เดือน
- Invisalign Moderate
- เหมาะสำหรับ: เคสที่มีปัญหาค่อนข้างซับซ้อน และต้องขยับฟันหลายซี่
- จำนวนเครื่องมือ: 26 ชิ้น
- ระยะเวลาการรักษา: ประมาณ 12 เดือน
- Invisalign Lite
- เหมาะสำหรับ: เคสที่มีปัญหาปานกลาง เช่น ฟันซ้อนหรือฟันเกเล็กน้อย
- จำนวนเครื่องมือ: ประมาณ 14 ชิ้น
- ระยะเวลาการรักษา: ประมาณ 6-8 เดือน
- Invisalign Go
- เหมาะสำหรับ: เคสที่มีปัญหาปานกลางขึ้นไป โดยเน้นการรักษาเฉพาะบริเวณฟันกรามน้อย
- จำนวนเครื่องมือ: ประมาณ 20 ชิ้น
- ระยะเวลาการรักษา: ประมาณ 3-6 เดือน
- Invisalign i7 / Express
- เหมาะสำหรับ: เคสที่มีปัญหาเล็กน้อย สามารถเลือกจัดฟันเฉพาะฟันบนหรือฟันล่างได้
- จำนวนเครื่องมือ: ไม่เกิน 7 ชิ้น
- ระยะเวลาการรักษา: ประมาณ 3 เดือน
- Invisalign First
- เหมาะสำหรับ: การจัดฟันในเด็ก อายุ 6-12 ปี เพื่อช่วยลดความรุนแรงของปัญหาฟันที่อาจเกิดขึ้นในอนาคต
- จำนวนเครื่องมือ: ไม่จำกัดจำนวนชิ้น (ขึ้นอยู่กับแผนการรักษา)
- ช่วยลดปัญหาฟันที่อาจเกิดขึ้นในอนาคต การแก้ไขปัญหาฟันตอนเด็กจะง่ายกว่าตอนโต
การพิจารณาปัจจัยต่างๆ เช่น ใบอนุญาตของคลินิก ความเชี่ยวชาญของทันตแพทย์ ทำเลที่ตั้ง ราคา และรีวิวจากลูกค้า จะช่วยให้เราตัดสินใจเลือกสถานที่จัดฟันใสได้อย่างมั่นใจ ไม่ผิดหวัง บทความนี้จะแนะนำวิธีเลือกคลินิกจัดฟันใสที่ดี เหมาะสม และตอบโจทย์ความต้องการของเรา ตามหัวข้อดังต่อไปนี้
คลินิกมีใบอนุญาตถูกต้องตามกฎหมาย
ในการเลือกคลินิกจัดฟันใส สิ่งแรกที่ควรพิจารณาคือ คลินิกนั้นมีใบอนุญาตประกอบกิจการสถานพยาบาลถูกต้องตามกฎหมายหรือไม่ เนื่องจากการจัดฟันใสถือเป็นการรักษาทางทันตกรรมประเภทหนึ่ง จึงจำเป็นต้องดำเนินการภายใต้สถานพยาบาลที่ได้รับอนุญาตอย่างถูกต้องเท่านั้น
การตรวจสอบใบอนุญาตสามารถทำได้โดยสังเกตใบอนุญาตที่ติดอยู่บริเวณหน้าคลินิกหรือสอบถามโดยตรงจากเจ้าหน้าที่ นอกจากนี้ ยังสามารถตรวจสอบได้จากเว็บไซต์ของกระทรวงสาธารณะสุข กรมสนับสนุนบริการสุขภาพ ที่ https://hosp.hss.moph.go.th/ ซึ่งมีการเผยแพร่ข้อมูลรายชื่อสถานพยาบาลที่ได้รับอนุญาตทั่วประเทศ หรือสอบถามข้อมูลเพิ่มเติมได้ที่หมายเลขโทรศัพท์ 02-193-7000
(สำหรับ MOS Dental Clinic สามารถเข้าเว็บไซต์แล้วพิมพ์ค้นหาด้วยคำว่า “คลินิกทันตกรรมมอส” ได้เลย เนื่องจากมีหลายสาขาจึงมีหลายผลการค้นหาครับ)
การเลือกคลินิกที่มีใบอนุญาตถูกต้องจะช่วยให้มั่นใจได้ว่า เราจะได้รับบริการที่ได้มาตรฐาน ปลอดภัย และถูกต้องตามหลักวิชาการ หากพบว่าคลินิกไหนไม่มีใบอนุญาต ควรหลีกเลี่ยงและเลือกใช้บริการจากคลินิกที่ถูกกฎหมายเท่านั้น เพื่อป้องกันปัญหาที่อาจเกิดขึ้นภายหลังจากการจัดฟัน
ทันตแพทย์ผ่านการรับรองของทันตแพทย์สภา
นอกจากใบอนุญาตคลินิกแล้ว ทันตแพทย์ต้องได้รับการรับรองจากทันตแพทยสภา เพราะการจัดฟันใสนั้นต้องอาศัยความเชี่ยวชาญและความรู้ความสามารถของทันตแพทย์
ทันตแพทย์ที่ผ่านการรับรองจากทันตแพทยสภา หมายถึง ทันตแพทย์ที่จบการศึกษาจากสถาบันที่ได้รับการรับรองจากทันตแพทยสภา (https://dentalcouncil.or.th/Pages/Dentistry) ผ่านการสอบใบประกอบวิชาชีพ และขึ้นทะเบียนเป็นผู้ประกอบวิชาชีพทันตกรรมอย่างถูกต้อง คนไข้จะได้มั่นใจว่าได้รับบริการจากทันตแพทย์ซึ่งมีความรู้และทักษะตามมาตรฐานวิชาชีพ
สามารถตรวจสอบรายชื่อของทันตแพทย์ได้จากเว็บไซต์ของทันตแพทยสภา แล้วกรอกชื่อทันตแพทย์ที่ต้องการค้นหา (ต้องกรอกทั้งชื่อและนามสกุล)
ท่านสามารถดูรายชื่อทันตแพทย์ทั้งหมดของ MOS Dental Clinic ได้ที่หน้ารายชื่อทันตแพทย์ทั้งหมด
ความเชี่ยวชาญของทันตแพทย์
นอกเหนือจากการตรวจสอบทั้งคลินิกและหมอฟันแล้ว ควรตรวจสอบด้วยว่าหมอฟันนั้นเรียนมาเฉพาะทางด้านการจัดฟันและมีประสบการณ์ในการจัดฟันใสจริงๆ โดยอาจหาดูจากการรีวิว เพื่อให้มั่นใจได้ว่าการจัดฟันใสของเราจะอยู่ในมือของหมอฟันที่เชี่ยวชาญจริงๆ สามารถดูแลการจัดฟันของเราได้อย่างถูกต้องและมีประสิทธิภาพ
ตำแหน่งที่ตั้งของคลินิก
ตำแหน่งที่ตั้งของคลินิกเองก็เป็นอีกหนึ่งปัจจัยสำคัญในการเลือกว่าจะจัดฟันใสที่ไหนดี เพราะคลินิกควรเดินทางเข้าถึงง่าย อยู่ใกล้กับที่บ้านหรือที่ทำงาน เพราะการจัดฟันใช้เวลาหลายเดือน ต้องเข้าพบทันตแพทย์หลายครั้ง การเลือกคลินิกที่ตั้งอยู่ในทำเลที่สะดวกในการเดินทางจึงเป็นเรื่องสำคัญ
ที่ MOS Dental Clinic เรามีสาขามากถึง 31 สาขา คุณสามารถตรวจสอบได้ว่าสะดวกสาขาไหนที่สุดได้ที่หน้าสาขาทั้งหมดของ MOS Dental
ราคาเหมาะสมกับคุณภาพ ผ่อนชำระได้
คนไข้ควรตรวจสอบราคาจัดฟันใสของคลินิกที่สนใจว่าไม่ควรแตกต่างกับคลินิกอื่นมากนัก เช่น หากราคาถูกเกินไปอาจเป็นของไม่ได้คุณภาพ หากแพงเกินไปก็อาจไม่คุ้ม
สำหรับ MOS Dental Clinic ราคาแพคเกจการจัดฟันใสมีดังนี้
| Package | ชำระงวดแรกๆ | ชำระงวดที่เหลือ | รวม |
| Invisalign Full (5 ปี) | 38,000 x 3 | 4,000 x 12 | 162,000 |
| Invisalign Full (3 ปี) | 35,000 x 3 | 4,000 x 10 | 145,000 |
| Invisalign Essentials | 25,000 x 3 | 2,800 x 5 | 89,000 |
| Invisalign Go | 29,500 x 2 | – | 59,000 |
ทุก Package ฟรี ปรึกษา, ถ่ายรูปช่องปาก, attachment, IPR กรอแต่งฟัน, scan ตาม package
สามารถโทรสอบถามเพิ่มเติมได้ที่ 090-270-5914
รีวิวจากลูกค้า
ตรวจสอบรีวิวจากลูกค้าจริง ตามเพจ social ต่างๆ เช่น Facebook, IG เพื่อดูรีวิวจากคนรับบริการจริงว่ามีความพึงพอใจมากขนาดไหน หากเสียงตอบรับเป็นไปในแนวทางที่ดี ก็มีโอกาสที่เราไปเข้ารับบริการแล้วจะพึงพอใจด้วย



จัดฟันใสที่ MOS Dental Clinic ดีกว่ายังไง
MOS Dental Clinic ขอเป็นอีกทางเลือกในการจัดฟันใส ด้วยสาเหตุดังต่อไปนี้:
- คลินิกของเรามีใบอนุญาตถูกต้องตามกฎหมายทุกสาขา
- เรามีทีมทันตแพทย์ที่ผ่านการรับรองของทันตแพทย์สภา และจบการศึกษาเฉพาะทางด้านทันตกรรมจัดฟัน (Orthodontics) โดยตรง และมีประสบการณ์จริงมายาวนาน
- เรามีสาขามากถึง 30 สาขา ทำให้คุณมีทางเลือกที่หลากหลาย หลายๆ สาขาอยู่ใกล้รถไฟฟ้าบีทีเอส, อยู่ในศูนย์การค้าชั้นนำ ทำให้สามารถมาจัดฟันได้สะดวก
- เราเป็นพาร์ทเนอร์กับ Invisalign มายาวนาน ได้รับรางวัลระดับ Diamon Provider ของ Invisalign System ต่อเนื่องทุกปีตั้งแต่ 2018 จนถึงปัจจุบันอีกด้วย


ระดับของผู้ให้บริการจัดฟันใส ยิ่งระดับสูงแปลว่ายิ่งผ่านการจัดฟันใสให้กับคนไข้มาเยอะ (คิดเป็นต่อปี)
คำถามพบบ่อย FAQ เกี่ยวกับจัดฟันใส
จัดฟันใสเจ็บไหม
จะรู้สึกเจ็บๆ ตึงๆ เล็กน้อยที่ฟัน ซึ่งเป็นเรื่องปกติเพราะฟันกำลังถูกเคลื่อนที่ด้วยเครื่องมือจัดฟันใสอยู่ อาการเหล่านี้จะหายไปใน 3-4 วันเมื่อฟันปรับตัวได้ และโดยทั่วไปแล้วก็รู้สึกสบายกว่าการจัดฟันแบบโลหะ
จัดฟันใสต้องถอนฟันไหม
ส่วนมากแล้วจะไม่จำเป็นต้องถอนฟัน ทันตแพทย์จะใช้วิธีการขยายพื้นที่เล็กน้อยระหว่างซี่ฟัน หรือการเคลื่อนฟันเพื่อให้มีช่องว่างเพียงพอสำหรับฟันทุกซี่ให้เรียงได้อย่างสวยงาม อย่างไรก็ตามหากมีฟันซ้อนฟันเกมาก ก็อาจจะพิจารณาให้ถอนฟันร่วมด้วย
ต้องใส่เครื่องมือจัดฟันใสนานขนาดไหน
ขึ้นอยู่กับความซับซ้อนของปัญหาฟัน โดยเฉลี่ยแล้วจะอยู่ที่ 6 เดือนถึง 2 ปี หากเป็นเคสที่มีปัญหาเล็กน้อยก็จะใช้เวลาแค่ 3-6 เดือน แต่ถ้าซับซ้อนก็จะนานกว่านั้น นอกจากนั้นยังขึ้นกับวินัยในการใส่เครื่องมือจัดฟันด้วย ต้องใส่ให้ได้อย่างน้อย 20-22 ชั่วโมงต่อวัน
ถ้าทำเครื่องมือจัดฟันใสหาย ต้องทำอย่างไร
ถ้าทำหาย ให้รีบติดต่อที่คลินิก ในระหว่างนั้นทันตแพทย์อาจจะให้ใส่เครื่องมือจัดฟันชุดก่อนหน้าไปก่อนป้องกันฟันเคลื่อนกลับ หรือบางทีอาจจะให้ข้ามไปใส่ชุดเครื่องมือถัดไปได้เลย ขึ้นอยู่กับการประเมินของทันตแพทย์ ห้ามตัดสินใจเอง
หลังจัดฟันใสเสร็จ ต้องใส่รีเทนเนอร์ไหม
ยังต้องใส่รีเทนเนอร์เพื่อป้องกันไม่ให้ฟันเคลื่อนที่กลับไปที่เดิม โดยในช่วงแรกทันตแพทย์มักจะแนะนำให้ใส่ตลอดเวลาเหมือนกับการใส่เครื่องมือจัดฟัน และหลังจากนั้นจะค่อยๆ ลดจำนวนชั่วโมงลงตามคำแนะนำของทันตแพทย์
